Los cuerpos vertebrales visibles son de morfología e intensidad de señal normal en las distintas secuencias, sin lesiones destructivas o infiltrativas con formacion de osteofitos en bordes anteriores de los cuerpos vertebrales . Los componentes de arcos posteriores sin anormalidades detectables mediante este método de imagen. Unión cráneo-cervical sin alteraciones.
El cuerpo vertebtal de C3 con discreta retrolistesis
Los discos intervertebrales se tiene con intensidad de señal disminuida en secuencias T2 mostrando a disminución del espacio C6-C7
Se tiene aumento en la lordosis cervical
Se tiene cambios degenerativos de las plataformas a nivel de C6-C7
En conducto raquídeo la médula es de calibre normal, sin lesiones expansivas, sin zonas de adelgazamiento focal sugestivas de atrofia. No compresiones extrínsecas sobre la misma. Su intensidad de señal es normal tanto en T1 como en T2. Unión bulbo-medular conservada.
A nivel de espacio C6-C7 se tiene complejo disco-oseofitario con obliteracion del espacio subaracnoideo anterior
Las amígdalas cerebelosas normales
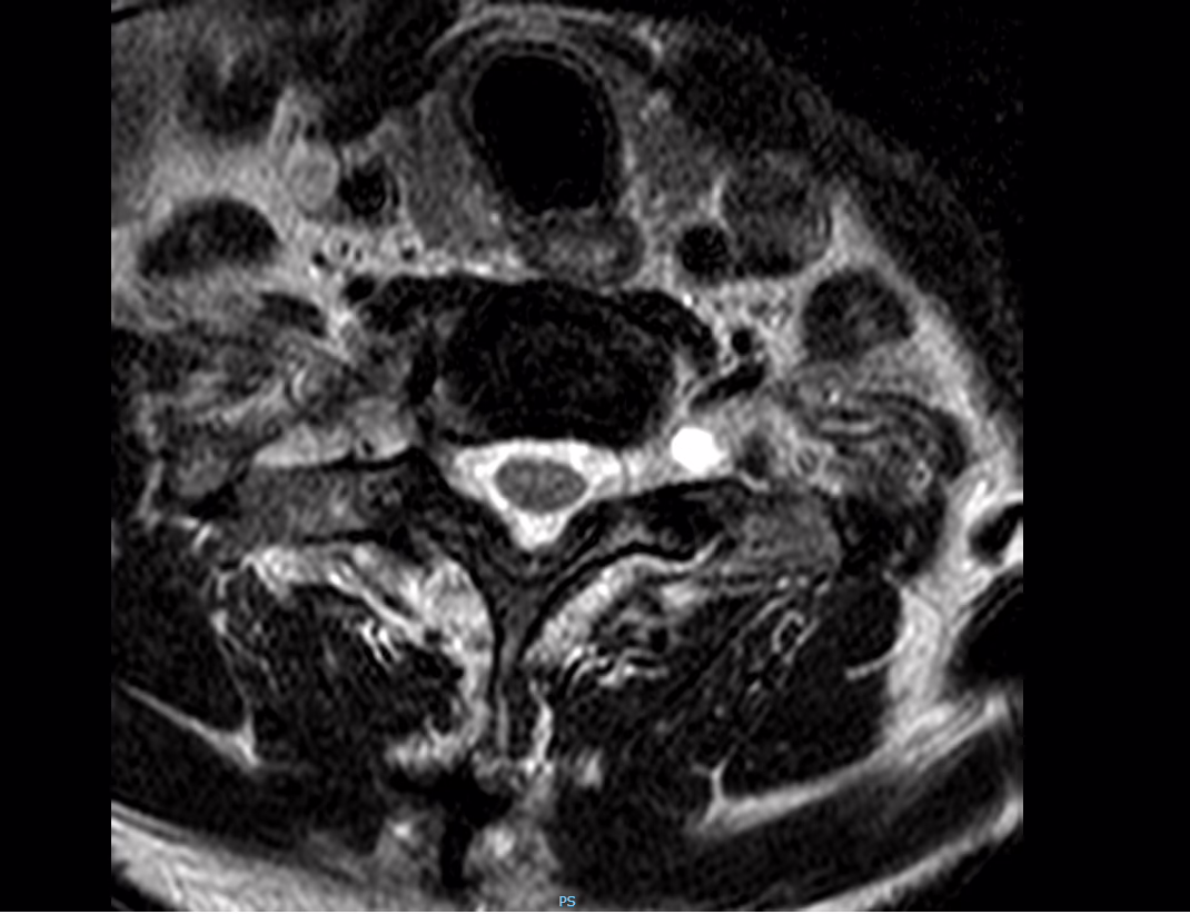
Los agujeros de conjunción con obliteración parcial a nivel de C3-C4 bilateral , y C6-C7 derecho
Los tejidos blandos paraespinales normales.
Conclusión:
Complejo disco-osteofitario C6-C7
Discreta retrolitesis de C3
Cambios de deshidratación del núcleo pulposo de los discos
Cambios degenerativos de las plataformas a nivel e C6-C7
Obliteración parcial de los agujeros de conjunción C3-C4 bilateral y C6-C7 derecho
Cambios de espondiloartropatia degenerativa
Como hallazgo adicional se tiene pequeño quiste perineural a nivel del agujero de conjuncion C7-T1




