RADIOGRAFIA AP Y LATERAL DE RODILLAS.
LAS PROYECCIONES RADIOLÓGICAS MUESTRAN LOS SIGUIENTES HALLAZGOS:
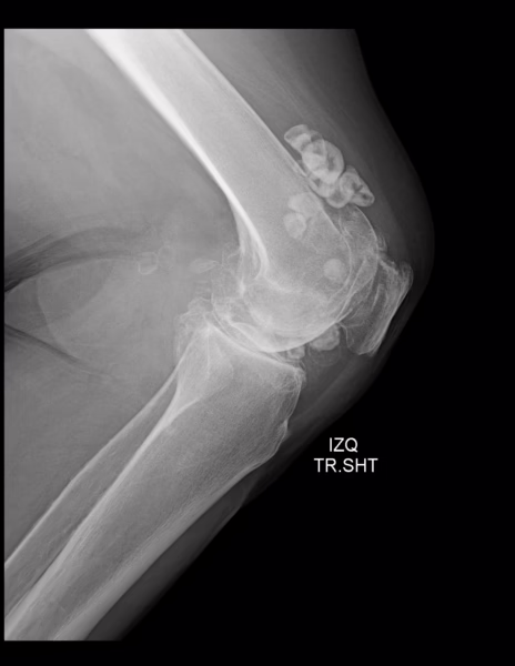
Los tejidos blandos de ambas rodillas a nivel de grasa suprapatelar y periférica al articulación con presencia de imágenes radio pacas, redondeadas, irregulares, bien definidas, con centro sutilmente radiolúcido al resto de la periferia, de lado izquierdo miden desde 6.5 mm hasta 2.22 cm y de lado derecho desde 1.4 cm a 1.67 cm. Resto sin alteraciones.
Estructuras óseas; fémurs distal y tibias proximales, sin evidencia de lesiones líticas, blásticas o perdida de la contigüidad. Existen osteofitos marginales.
Rotulas, centrales, sin evidencia de lesiones líticas, blásticas o perdida de la contigüidad. Existen osteofitos marginales.
El espacio articular femorotibial, con disminución severa de su amplitud.
Espacio articular patelofemoral, con disminución severa de su amplitud.
Angulo femorotibial derecho de 173.6° e izquierdo de 174 °.
Angulo Muñiz derecho de 5° e izquierdo de 7.1°.
Índice de install-salvati derecho de 0.8 e izquierdo de 1.07.
OPINIÓN RADIOLÓGICA:
EN EL PRESENTE ESTUDIO RADIOGRÁFICO, EXISTE GONARTROSIS SEVERA BILATERAL.
CALCIFICACIONES PERIARTICULARES EN TEJIDOS BLANDOS DE PREDOMINIO EN GRASA SUPRAPATELAR BILATERAL DE PREDOMINIO EN RODILLA IZQUIERDA.
LEER DESCRIPCIÓN Y OTORGAR VALOR DIAGNÓSTICO.
CORRELACIONAR CON DATOS E HISTORIA CLINICA DEL PACIENTE


