Nuevos criterios de muerte embrionaria temprana
Primer Trimestre AnormalEstadística
Objetivos de USG del primer trimestre
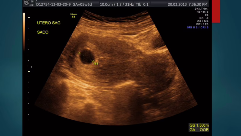
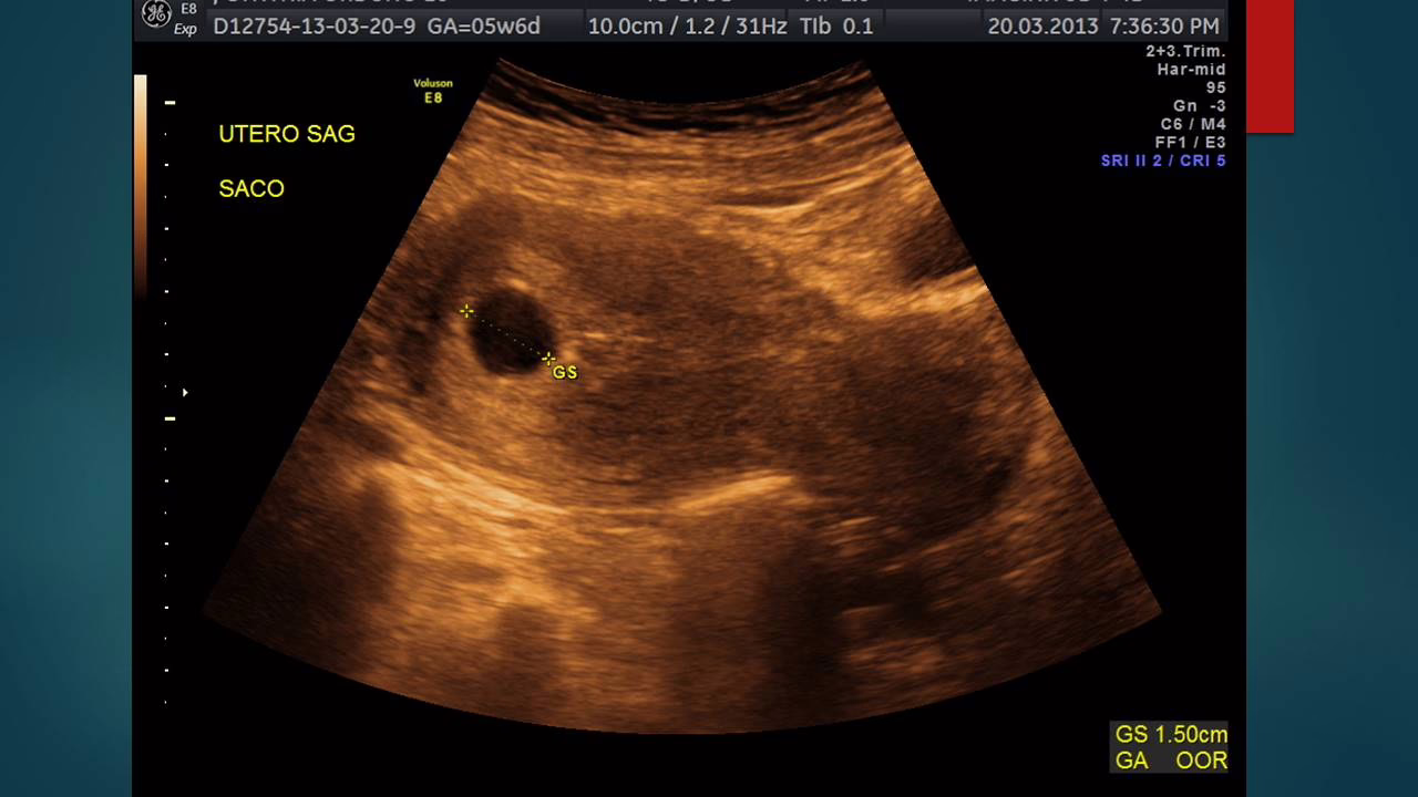
Saco gestacional
•Visualización y localización del SG
•Embarazo intrauterino o ectópico
•Identificación precoz de la muerte embrionaria
•Gestación anembriónica
•Determinar numero de embriones
•Estimacion de la edad getacional
•Dx precoz de anomalias fetales y embrionarias
•Saco vitelino anomalo
Saco vitelino
Actividad cardiaca
Frecuencia cardíaca en el primer trimestre
Terminología del primer trimestre
•Los criterios para diagnosticar un embarazo no viable en el primer trimestre deben eliminar la posibilidad de cualquier resultado falso positivo.
•Viable:
•Un embarazo que puede potencialmente resultar en un producto vivo.
•No viable:
•Embarazo que no puede resultar en un producto vivo
•Embarazo intrauterino de viabilidad dudosa:
•Con saco gestacional sin latido pero sin encontrar datos concretos de falla.
•Embarazo de ubicación incierta:
•El que tiene prueba de orina o embarazo positiva pero no se encuentra embarazo en cavidad endometrial o ectopico en el US.
Pruebas diagnósticas de embarazo
•Gonadotropina coriónica humana:
•Positiva después de 5 mlU/ml.
Criterio anterior:
•Longitud de 5 mm sin actividad cardíaca= embarazo no viable.
•Especificidad del 90-100%.
Criterio Actual:
•Longitud de 7 mm sin actividad cardíaca= embarazo no viable.
•Especificidad del 100%
•Variabilidad entre exploradores es de +/- 15%
•Ultrasonido
Uso de la longitud craneocaudal como criterio
Uso del diámetro del saco gestacional para criterio de no viabilidad
•Criterio anterior:
•Diametro de 16 mm= No viabilidad
•Especificidad del 88-100%
•Criterio actual:
•Diametro de 25 mm= No viabilidad
•16-25 mm= Sospecha de no viabilidad
•La variabilidad entre exploradores es de
| Embarazo fallido |
| Longitud craneo-caudal > 7 mm sin latido cardiaco (antes 5 mm) |
| Saco gestacional > 25 mm sin embrión (antes 16 mm) |
| Ausencia de embrión con latido > 2 semanas de un escaneo con saco gestacional y sin saco vitelino. |
| Ausencia de embrión con latido 11 días de un escaneo con saco gestacional y con saco vitelino. |
Guias en relación a la posibilidad de embarazo intrauterino viable en embarazo de localización incierta


Sangrado o hemorragia es motivo frecuente de consulta (30%)
UTV= auxiliar en el Dx (vitalidad presente = Px favorable a 90 %)

• Embarazo intrauterino o ectópico
• Identificación precoz de la muerte embrionaria
• Gestación anembriónica
• Determinar numero de embriones
• Estimacion de la edad getacional
• Dx precoz de anomalias fetales y embrionarias
• Saco vitelino anomalo

35 */- 2 días de edad menstrual
1000 mUI sub hCG (TV)
3600 mUI sun HCG



Momento de aparición:
5 sem amenorrea (TV)
6 sem amenorrea (TA)
DSM 8-13 mm (TV)
DSM 20 mm(TA)
Sub B hCG 7600 mUI/ml
Mide entre 3 y 6 mm


•Embarazo de ubicación incierta:
•El que tiene prueba de orina o embarazo positiva pero no se encuentra embarazo en cavidad endometrial o ectopico en el US.

Longitud de 5 mm sin actividad cardíaca= embarazo no viable.
Especificidad del 90-100%.
Criterio Actual:
Longitud de 7 mm sin actividad cardíaca= embarazo no viable.
Especificidad del 100%
Variabilidad entre exploradores es de +/- 15%


Diametro de 16 mm= No viabilidad
Especificidad del 88-100%
Criterio actual:
Diametro de 25 mm= No viabilidad
16-25 mm= Sospecha de no viabilidad
La variabilidad entre exploradores es de +/- 19%

| Embarazo fallido |
| Longitud craneo-caudal > 7 mm sin latido cardiaco (antes 5 mm) |
| Saco gestacional > 25 mm sin embrión (antes 16 mm) |
| Ausencia de embrión con latido > 2 semanas de un escaneo con saco gestacional y sin saco vitelino. |
| Ausencia de embrión con latido 11 días de un escaneo con saco gestacional y con saco vitelino. |