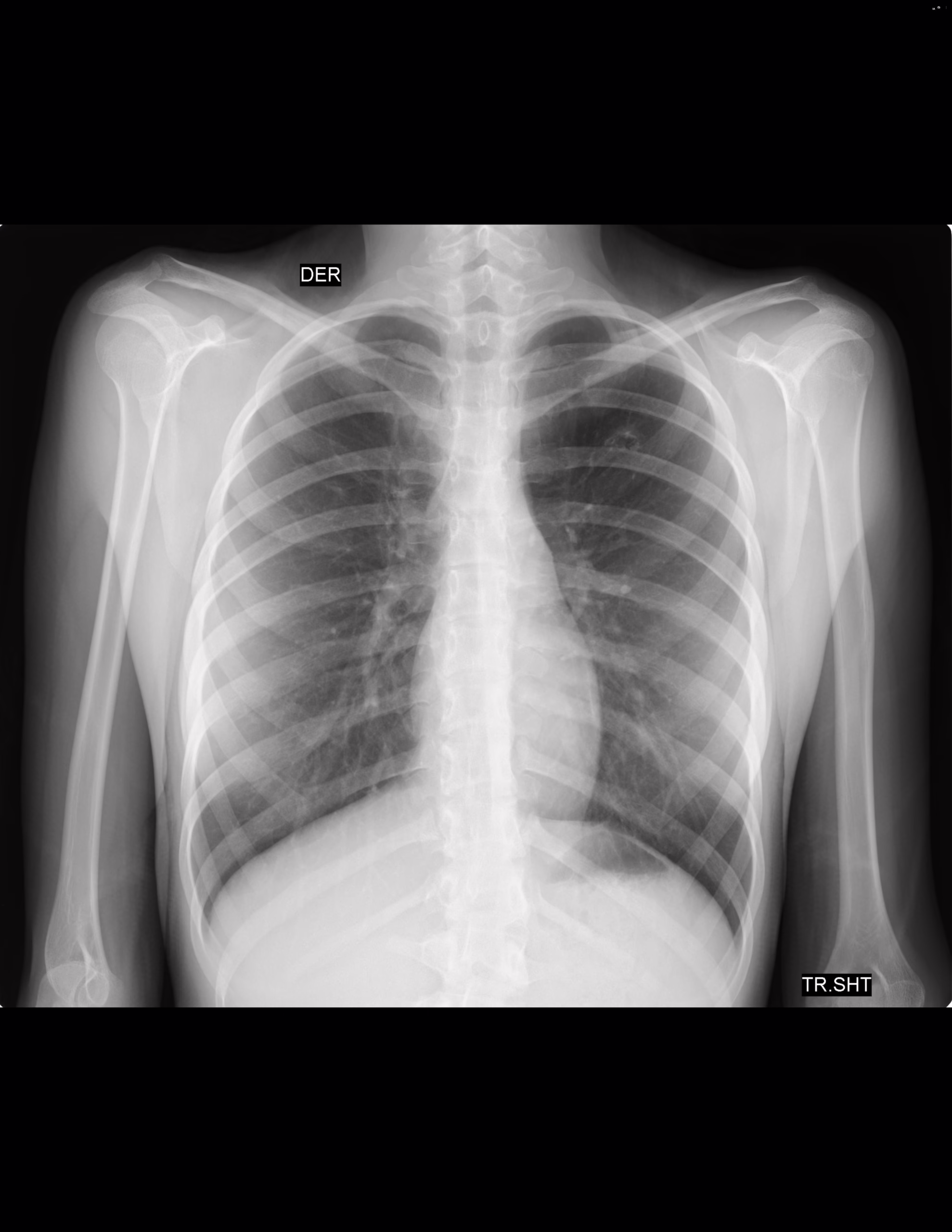
PA Y LATERAL DE TORAX
LA PROYECCION RADIOLOGICA OBTENIDA NOS MUESTRA LOS SIGUIENTES HALLAZGOS:
-Tejidos blandos, con adecuada densidad, sin evidencia alteraciones.
-Estructuras óseas, sin evidencia de lesiones líticas, blásticas o perdida de la contigüidad. Existe rectificación de cifosis dorsal.
-Vía aérea permeable, tráquea central. Botón aórtico sin calcificaciones.
-Mediastino, conservando sus diámetros.
-Corazón, central, con índice cardiotorácico menor a 0.5
-Hilios pulmonares, sin evidencia de alteraciones.
-Trama bronco-vascular, con adecuado trayecto densidad.
-Campos pulmonares, izquierdo hacia lóbulo superior, con presencia de cavitación que mide 5.4 X 10.5 mm, paredes con grosor de hasta 2.13 mm. Resto con adecuada densidad, sin evidencia de opacificaciones, nódulos, masas o derrame pleural.
-Recesos cardiofrénicos y costofrénicos, se observan libres.
-Espacio retroesternal, con adecuada amplitud, sin alteraciones.
OPINIÓN RADIOLÓGICA:
EN EL PRESENTE ESTUDIO RADIOGRÁFICO, CAMPO PULMONAR IZQUIERDO, HACIA LÓBULO SUPERIOR, CON PRESENCIA DE CAVITACIÓN DE ORIGEN A DETERMINAR.
RECTIFICACIÓN DE CIFOSIS DORSAL.
LEER DESCRIPCIÓN Y OTORGAR VALOR DIAGNÓSTICO A LO CONSIGNADO.
CORRELACIONAR CON DATOS E HISTORIA CLINICA DEL PACIENTE.

