PA Y LATERAL DE TORAX
LA PROYECCION RADIOLOGICA OBTENIDA NOS MUESTRA LOS SIGUIENTES HALLAZGOS:
-Tejidos blandos, con densidad conservada, simétricos, sin evidencia de alteraciones.
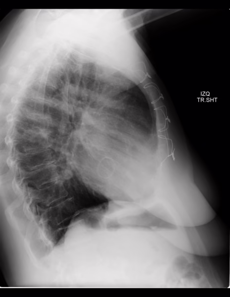
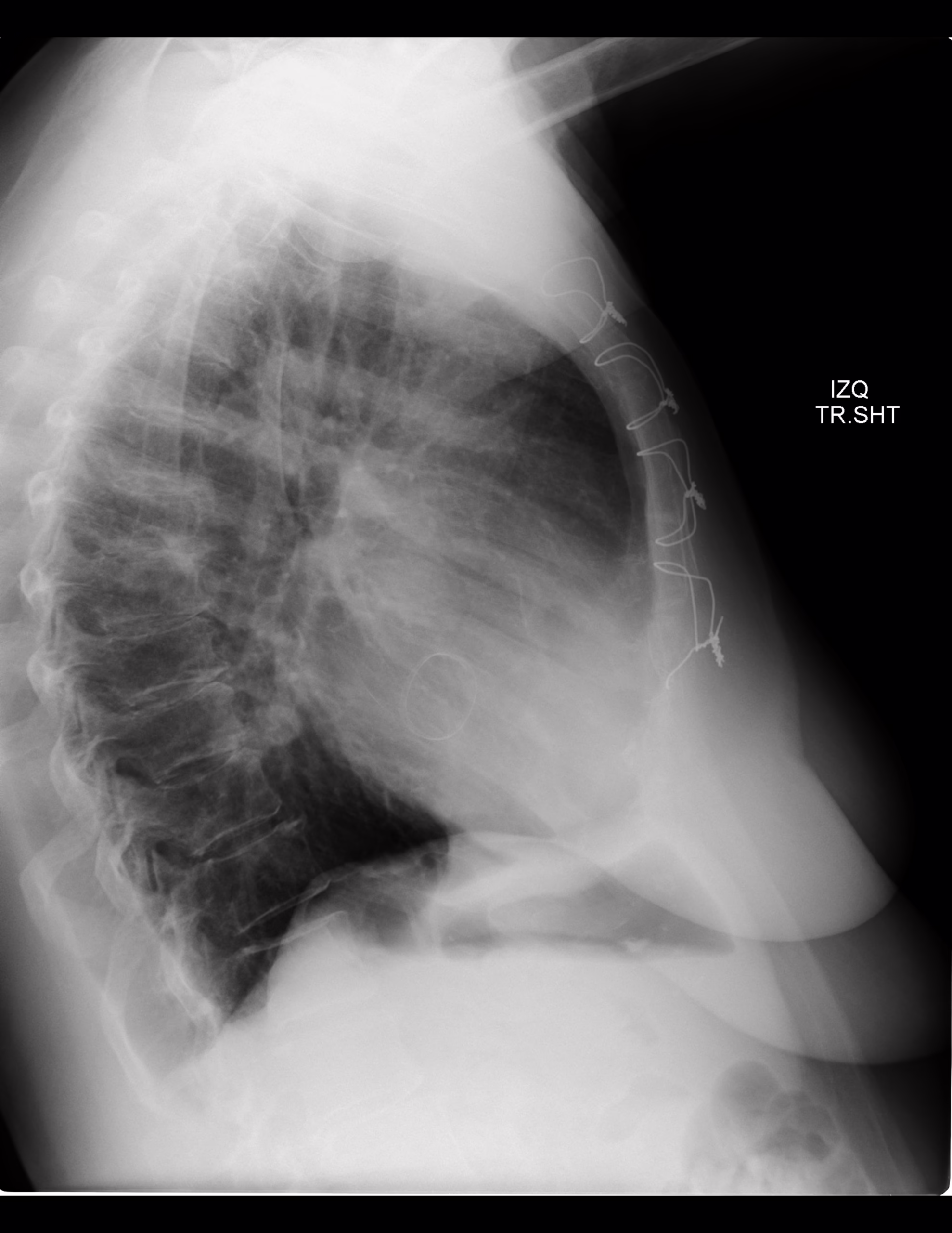
-Estructuras óseas, sin evidencia de lesiones líticas, blásticas o perdida de la contigüidad. Existen escasos osteofitos marginales. Existe material metálico a nivel de esternón.
-Vía aérea permeable, con tráquea desviada hacia la derecha.
-Mediastino, central, sin evidencia de alteraciones. Botón aórtico sin calcificaciones.
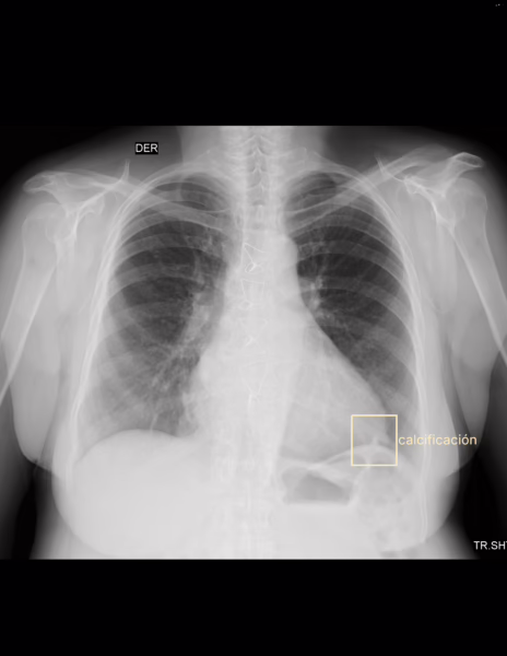
-Corazón, central, con índice cardiotorácico de 0.57. Existe material radiopaco en topografía de válvula mitral.
-Hilios pulmonares, sin alteraciones.
-Trama bronco-vascular, con adecuado trayecto y calibre.
-Campos pulmonares, con adecuada densidad, sin evidencia de opacificaciones, nódulos, masas o derrame pleural
-Recesos costofrénicos y cardiofrénicos se observan libres.
-Espacio retroesternal con leve disminución de su amplitud.
OPINIÓN RADIOLÓGICA:
EN EL PRESENTE ESTUDIO RADIOGRÁFICO, SIN EVIDENCIA DE LESIONES PARENQUIMATOSAS.
CARDIOMEGALIA GRADO II.
IMAGEN DE REMPLAZÓ DE VÁLVULA MITRAL.
EXISTE ESTERNOTOMÍA MEDIA, CON MATERIAL METÁLICO.
ESTRUCTURAS ÓSEAS, CON CAMBIOS OSTEODEGENERATIVOS.
LEER DESCRIPCIÓN Y OTORGAR VALOR DIAGNÓSTICO.
CORRELACIONAR CON DATOS E HISTORIA CLINICA DEL PACIENTE


Remplazo valvular mitral