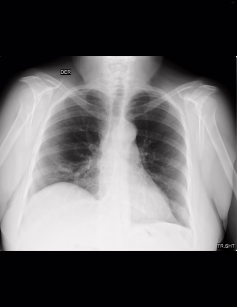
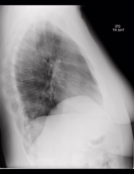
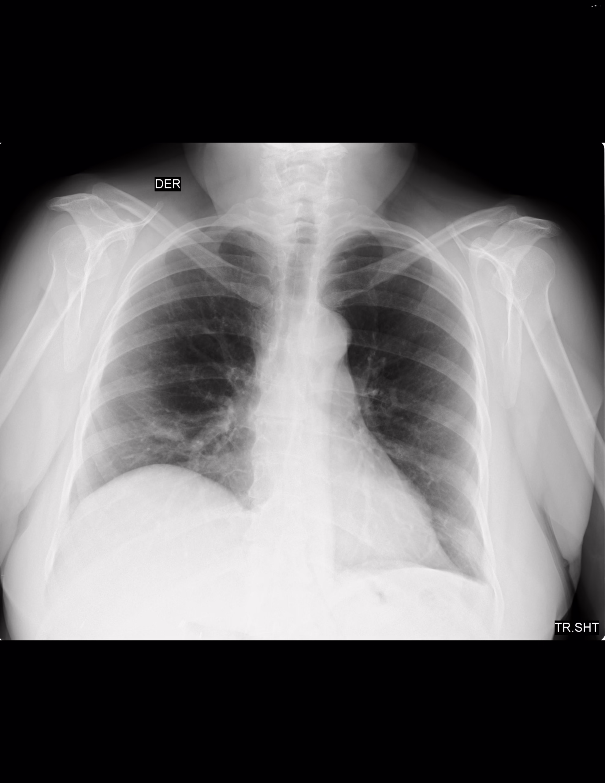
PA Y LATERAL DE TORAX
LA PROYECCION RADIOLOGICA OBTENIDA NOS MUESTRA LOS SIGUIENTES HALLAZGOS:
-Tejidos blandos, con densidad conservada, simétricos, sin evidencia de alteraciones.
-Estructuras óseas, sin evidencia de lesiones líticas, blásticas o perdida de la contigüidad. Existen osteofitos marginales.
-Vía aérea permeable, tráquea central.
-Mediastino, central, sin evidencia de alteraciones. Botón aórtico con escasas calcificaciones.
-Corazón, central, con índice cardiotorácico menor a 0.5.
-Hilios pulmonares, sin alteraciones.
-Trama bronco-vascular, con adecuado trayecto y calibre.
-Campos pulmonares, con adecuada densidad, sin evidencia de opacificaciones, nódulos, masas o derrame pleural
-Recesos costofrénicos y cardiofrénicos se observan libres.
-Espacio retroesternal con pérdida de su amplitud.
-Llama la atención la elevación del hemidiafragma derecho con diferencia de 5.6 cm.
OPINIÓN RADIOLÓGICA:
EN EL PRESENTE ESTUDIO RADIOGRÁFICO, SIN EVIDENCIA DE LESIONES PARENQUIMATOSAS.
EXISTE ELEVACIÓN DEL HEMIDIAFRAGMA DERECHO CON DIFERENCIA 5.6 CM, DE ORIGEN A DETERMINAR.
LA PÉRDIDA DEL ESPACIO RETROESTERNAL PODRÍA CORRESPONDER A AUMENTO DEL TAMAÑO DEL VENTRÍCULO DERECHO VS ORIGEN A DETERMINAR.
ATEROESCLEROSIS Y CAMBIOS OSTEODEGENERATIVOS.
LEER DESCRIPCIÓN Y OTORGAR VALOR DIAGNÓSTICO.
CORRELACIONAR CON DATOS E HISTORIA CLINICA DEL PACIENTE

