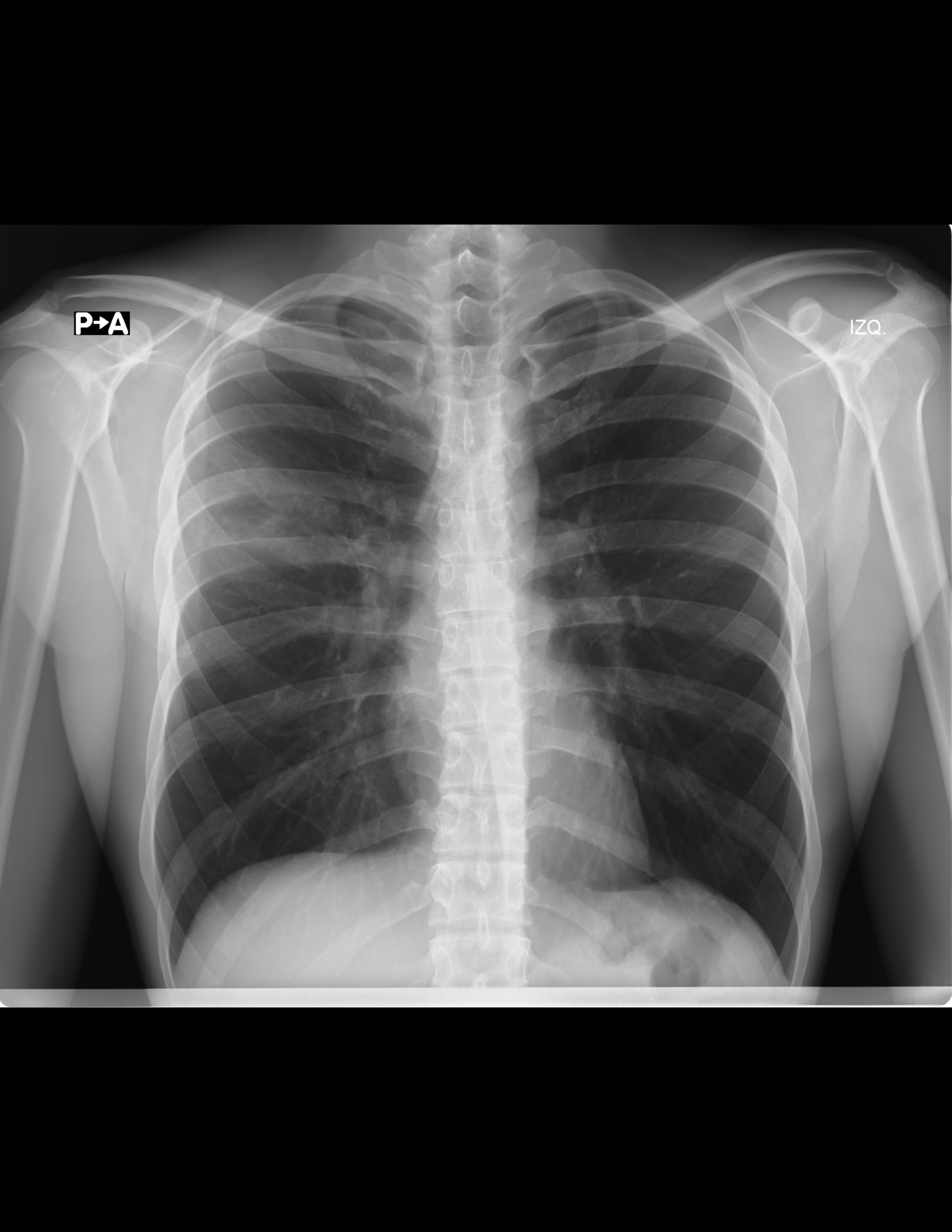
Hallazgos:
La tráquea es central, de calibre normal.
Silueta cardíaca de bordes bien definidos, con índice cardiotorácico de 0.40.
Pulmones con adecuado esfuerzo inspiratorio, se identifica zona de incremento en la radiopacidad de manera difusa en la región parahiliar superior y apical derecha, que tiende a presentar imagen de broncograma aereo asociado.
Los hemidiafragmas con morfología normal, los ángulos diafragmáticos están libres.
Las estructuras óseas con morfología y densidad conservadas.
En los tejidos blandos periféricos no se muestran cambios.
Impresión:
Radiopacidad parahiliar superior derecha, que pudiera corresponder con áreas de ocupación alveolar, se recomienda la valoración con estudios adicionales (TAC) si clínicamente se considera necesario.
Resto sin alteración evidente por este método.
