PA DE TORAX (TELE DE TORAX)
LA PROYECCION RADIOLOGICA OBTENIDA NOS MUESTRA LOS SIGUIENTES HALLAZGOS:
-Tejidos blandos, simétricos, con adecuada densidad, sin evidencia alteraciones.
-Estructuras óseas, sin evidencia de lesiones líticas, blásticas o perdida de la contigüidad. Existen osteofitos marginales.
-Vía aérea permeable, con leve desviación hacia la derecha a expensas de Botón aórtico. Botón aórtico con calcificaciones.
-Mediastino, conservando sus diámetros.
-Corazón, central, con índice cardiotorácico de 0.55
-Hilios pulmonares, derecho observado parcialmente. Izquierdo sin alteraciones.
-Trama bronco-vascular, de lo observado con adecuado trayecto, densidad y calibre.
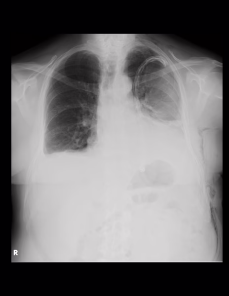
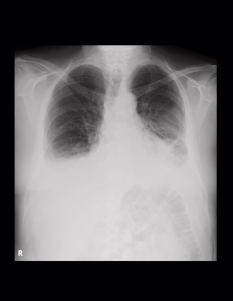
-Campos pulmonares, ambos con presencia de atelectasias basales
-Recesos costofrénicos y cardiofrénicos ocupados.
OPINIÓN RADIOLÓGICA:
EN EL PRESENTE ESTUDIO RADIOGRÁFICO, EXISTEN ATELECTASIAS BIBASÁLESES CON DERRAMÉ PLEURAL ASOCIADO.
CARDIOMEGALIA GRADO II.
CAMBIOS OSTEODEGENERATIVOS Y ATEROESCLEROSIS.
LEER DESCRIPCIÓN Y OTORGAR VALOR DIAGNÓSTICO.
CORRELACIONAR CON DATOS E HISTORIA CLINICA DEL PACIENTE.

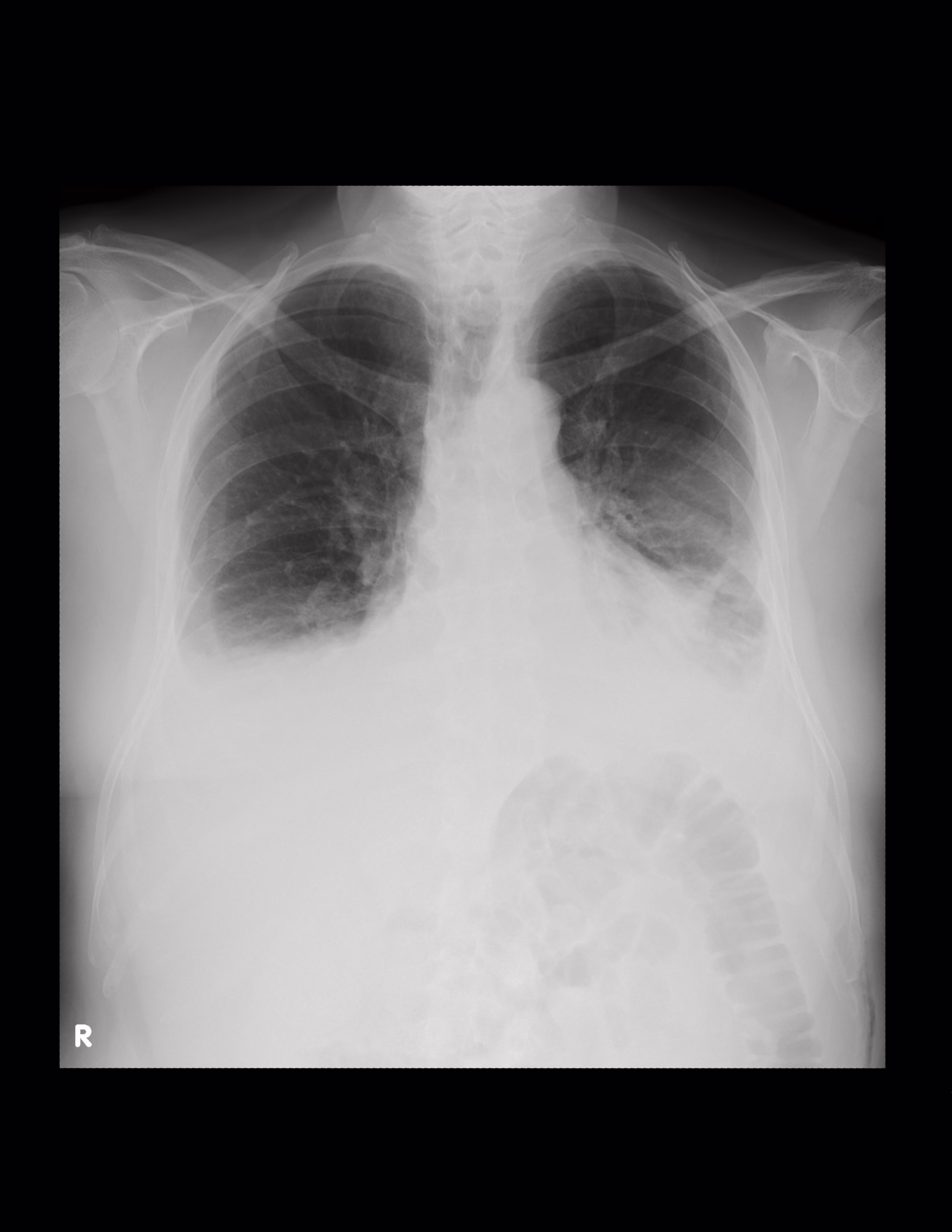
Imágenes radiolúcidas en los tejidos blandos en la región lateral y superior del hemitórax izquierdo, pared lateral del tórax y abdomen que se extiende a la región axilar en relación con enfisema subcutáneo.
Las estructuras óseas muestran una densidad conservada, hipoplasia del primer arco costal derecho en forma comparativa, cambios osteodegenerativos a nivel vertebral manifestado por osteofitos.
Opacidad en el hemitórax izquierdo haciendo signo de silueta con el contorno cardiaco, identificamos broncograma aéreo en la región parahiliar, obliteración del ángulo costodiafragmático lo que sugiere engrosamiento y/o derrame pleural, sonda torácica proyectada en el hemitórax izquierdo cuya punta se localiza en la porción superior.
Obliteración de los ángulos cardiofrénico y costodiafragmático del hemitórax derecho con infiltrado intersticial basal con tendencia a la consolidación observándose imágenes lineales radiolúcidas en la base pulmonar que sugieren broncograma aéreo.
IMPRESIÓN DIAGNOSTICA:
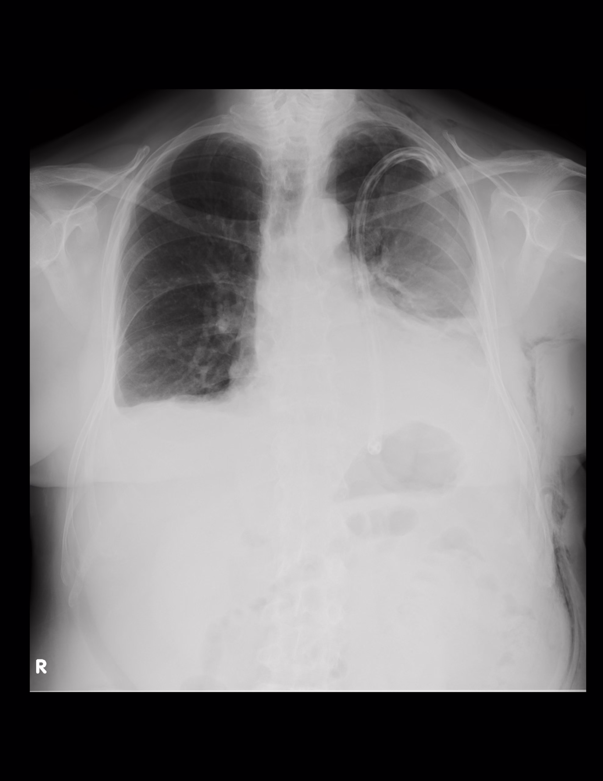
Enfisema subcutáneo en los tejidos blandos a la porción lateral izquierda del cuello, tórax y abdomen.
Hipoplasia del primer arco costal derecho, cambios osteodegenerativos a nivel vertebral manifestado por osteofitos.
Opacidad en el hemitórax izquierdo haciendo signo de silueta con el contorno cardiaco, el mediastino se observa central lo que sugiere doble componente de derrame y atelectasia, identificamos broncograma aéreo en la región parahiliar, obliteración del ángulo costodiafragmático lo que sugiere engrosamiento y/o derrame pleural, sonda torácica proyectada en el hemitórax izquierdo cuya punta se localiza en la porción superior.
Obliteración de los ángulos cardiofrénico y costodiafragmático del hemitórax derecho con infiltrado intersticial basal con tendencia a la consolidación con imágenes lineales radiolúcidas que sugieren broncograma aéreo.
