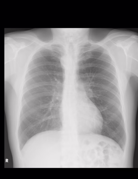
Se identifican los tejidos blandos y oseos de densidad homogénea, osteofitos incipientes vertebrales.
El cardiomediastino muestra un índice cardiotorácico en límites normales, se observa arco aórtico hacia la derecha, el flujo vascular pulmonar se considera normal.
No hay evidencia de infiltrados o consolidaciones pulmonares.
Los hemidiafragmas de apariencia normal, los ángulos cardiofrenicos y costodiafragmaticos se observan libres.
IMPRESIÓN DIAGNOSTICA:
Osteofitos incipientes vertebrales, arco aórtico hacia la derecha.


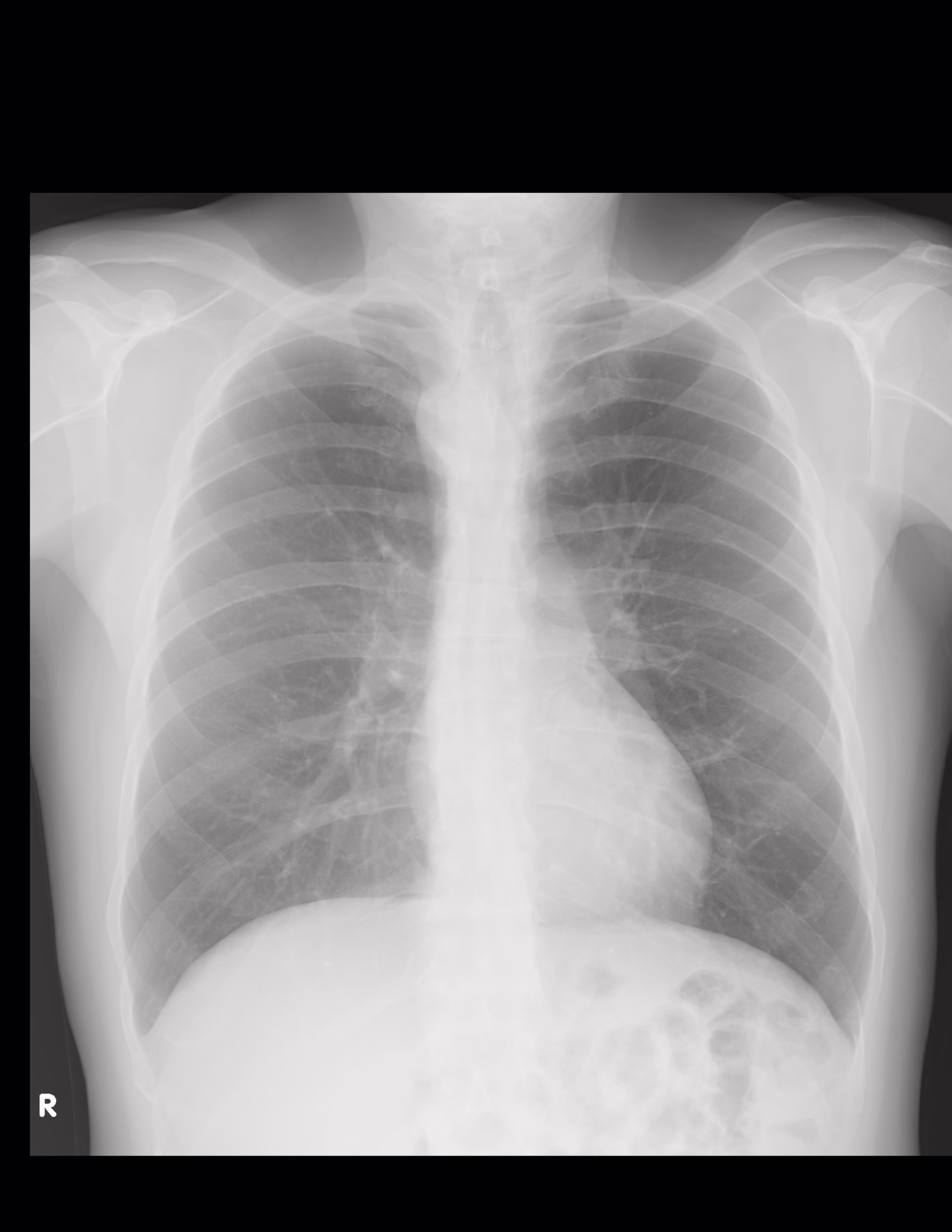
LA PROYECCION RADIOLOGICA OBTENIDA NOS MUESTRA LOS SIGUIENTES HALLAZGOS:
-Tejidos blandos, simétricos, con adecuada densidad, sin evidencia alteraciones.
-Estructuras óseas, sin evidencia de lesiones líticas, blásticas o perdida de la contigüidad. Existen algunos osteofitos marginales
-Vía aérea permeable, central. Botón aórtico sin calcificaciones, con desviación hacia la derecha.
-Mediastino, conservando sus diámetros.
-Corazón, central, con índice cardiotorácico menor a 0.5
-Hilios pulmonares, sin alteraciones.
-Trama bronco-vascular, con adecuado trayecto, densidad y calibre.
-Campos pulmonares, sin evidencia de opacificaciones, nódulos, masas o derrame pleural.
-Recesos costofrénicos y cardiofrénicos se observan sutilmente el signo del menisco de manera bilateral.
OPINIÓN RADIOLÓGICA:
- EN EL PRESENTE ESTUDIO RADIOGRÁFICO, SIN EVIDENCIA DE LESIONES PARENQUIMATOSAS.
- EXISTE APARENTE SIGNO DEL MENISCO DE MANERA BILATERAL, SUGERENTE DE DERRAMÉ PLEURAL BILATERAL ESCASO.
- BOTÓN AÓRTICO, CON DESVIACIÓN HACIA LA DERECHA.
- EXISTEN CAMBIOS OSTEODEGENERATIVOS INCIPIENTES.
- LEER DESCRIPCIÓN Y OTORGAR VALOR DIAGNÓSTICO.
- CORRELACIONAR CON DATOS E HISTORIA CLINICA DEL PACIENTE.