Los tejidos blandos muestran una densidad homogénea.
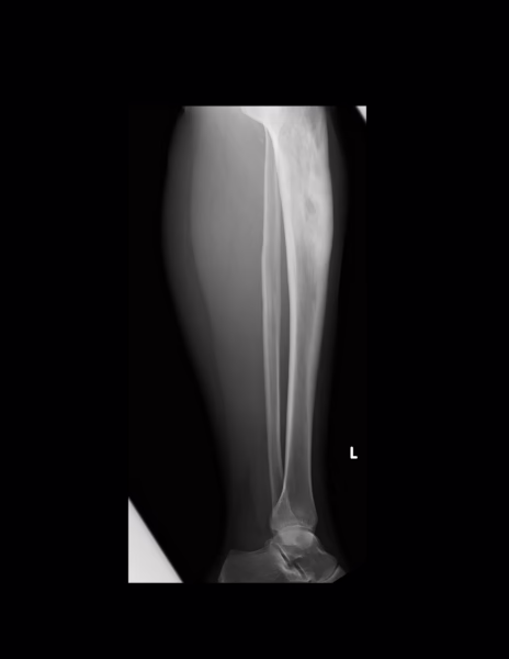
Cambios en la densidad ósea tibial, disminución en la densidad a nivel de la epífisis proximal, acentuación de la trabécula ósea, engrosamiento cortical y aumento en la densidad en la diáfisis proximal y media, con áreas radiolúcidas centrales irregulares, no hay evidencia de disrupción cortical.
Disminución leve del espacio articular femorotibial externo, el espacio articular tibioastragalino conservado.
IMPRESION DIAGNOSTICA:
Cambios en la densidad ósea de la tibia, disminución en la densidad en la epífisis proximal y acentuación de la trabécula ósea, engrosamiento cortical y aumento en la densidad en la diáfisis proximal y media con áreas radiolúcidas centrales irregulares, no hay evidencia de disrupción cortical.
Disminución leve del espacio articular femorotibial externo.

HALLAZGOS:
- Engrosamiento y reacción perióstica irregular de la cortical ósea con imagen radiolucida en su interior rodeada por imagen radiopaca en anillo en relación centro necrótico y formación de hueso hueso nuevo en relación a secuestro e involucro.
- Región proximal peroné normales.
- Región diafisaria distal y metafisaria de la tibia y peroné normales.
- Maléolo medial y lateral morfológicamente normales.
- Astrágalo y calcáneo de bordes regulares, sin alteraciones.
- No se evidencian lesiones líticas o blásticas.
- Adecuada relación articular tibio astragalina.
- Partes blandas sin evidencia de aumento de grosor.
IMPRESIÓN DIAGNOSTICA:
- Datos a favor de osteomielitis crónica a nivel del tercio proximal de la diáfisis de tibia izquierda.

rnm
Se realizaron cortes sagitales, axiales y coronales con técnica de espín eco con el protocolo habitual.
Se identifican edema en el tejido celular subcutáneo adyacente a la tibia y grupos musculares en la región anterior y medial de la pierna.
Existen cambios en la morfología e intensidad del hueso esponjoso de la tibia que involucra la diáfisis proximal y tercio medio con áreas de baja intensidad en el hueso esponjoso medular así como de mayor intensidad, la cortical al parecer se encuentra conservada.
La intensidad de las estructuras musculares se encuentra conservada.
IMPRESION DIAGNOSTICA:
Edema en el tejido celular subcutáneo adyacente a la tibia y grupos musculares en la región anterior y medial de la pierna.
Existen cambios en la morfología e intensidad del hueso esponjoso de la tibia que involucra la diáfisis proximal y tercio medio con áreas de baja intensidad en el hueso esponjoso medular así como de mayor intensidad, la cortical al parecer se encuentra conservada, cambios de proceso infiltrativo óseo de etiología a determinar.



