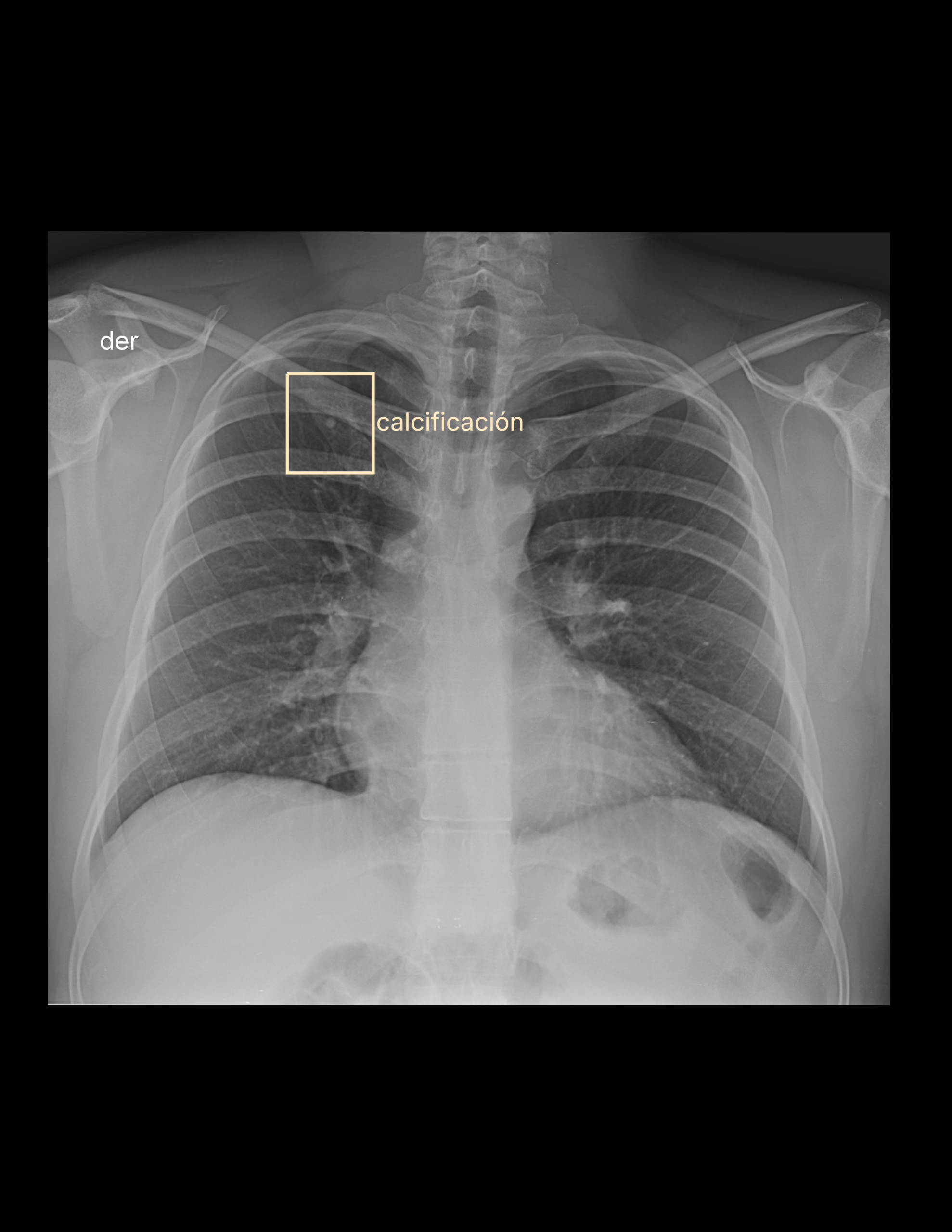
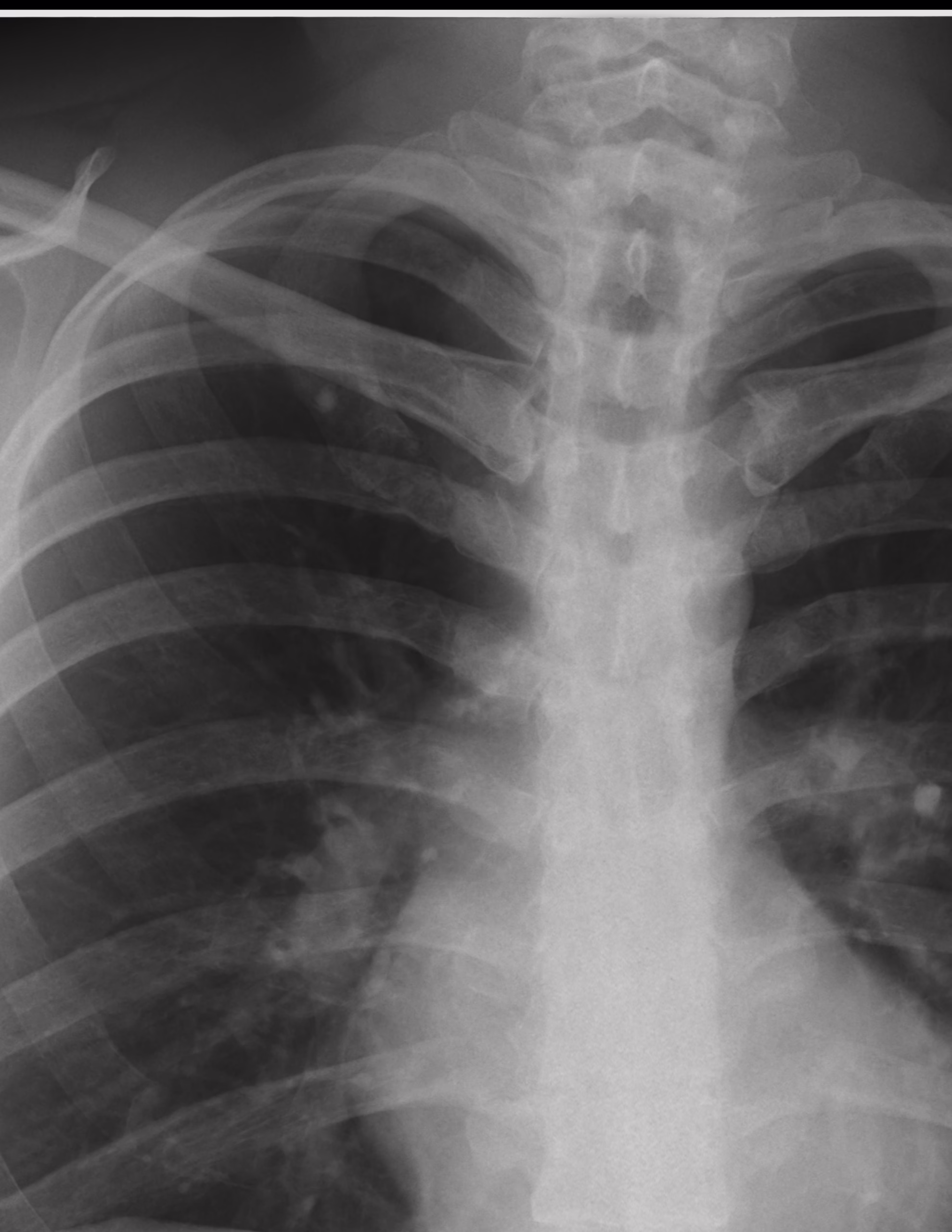
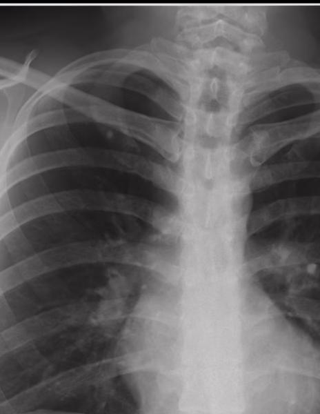
Se identifican los tejidos blandos y oseos de densidad homogénea.
El cardiomediastino muestra un índice cardiotorácico en limites normales, la aorta asi como el flujo vascular pulmonar se considera normal.
Imagen radiopaca proyectada en el primer arco costal derecho de 4.5 mm. que sugiere granuloma pulmonar calcificado.
Los hemidiafragmas de apariencia normal, los ángulos cardiofrenicos y costodiafragmaticos se observan libres.
IMPRESIÓN DIAGNOSTICA:
Imagen radiopaca proyectada en el primer arco costal derecho de 4.5 mm. que sugiere granuloma pulmonar calcificado.

