RADIOGRAFIA AP Y LATERAL DE TOBILLO
LAS PROYECCION RADIOLOGICA OBTENIDA NOS MUESTRA LOS SIGUIENTES HALLAZGOS
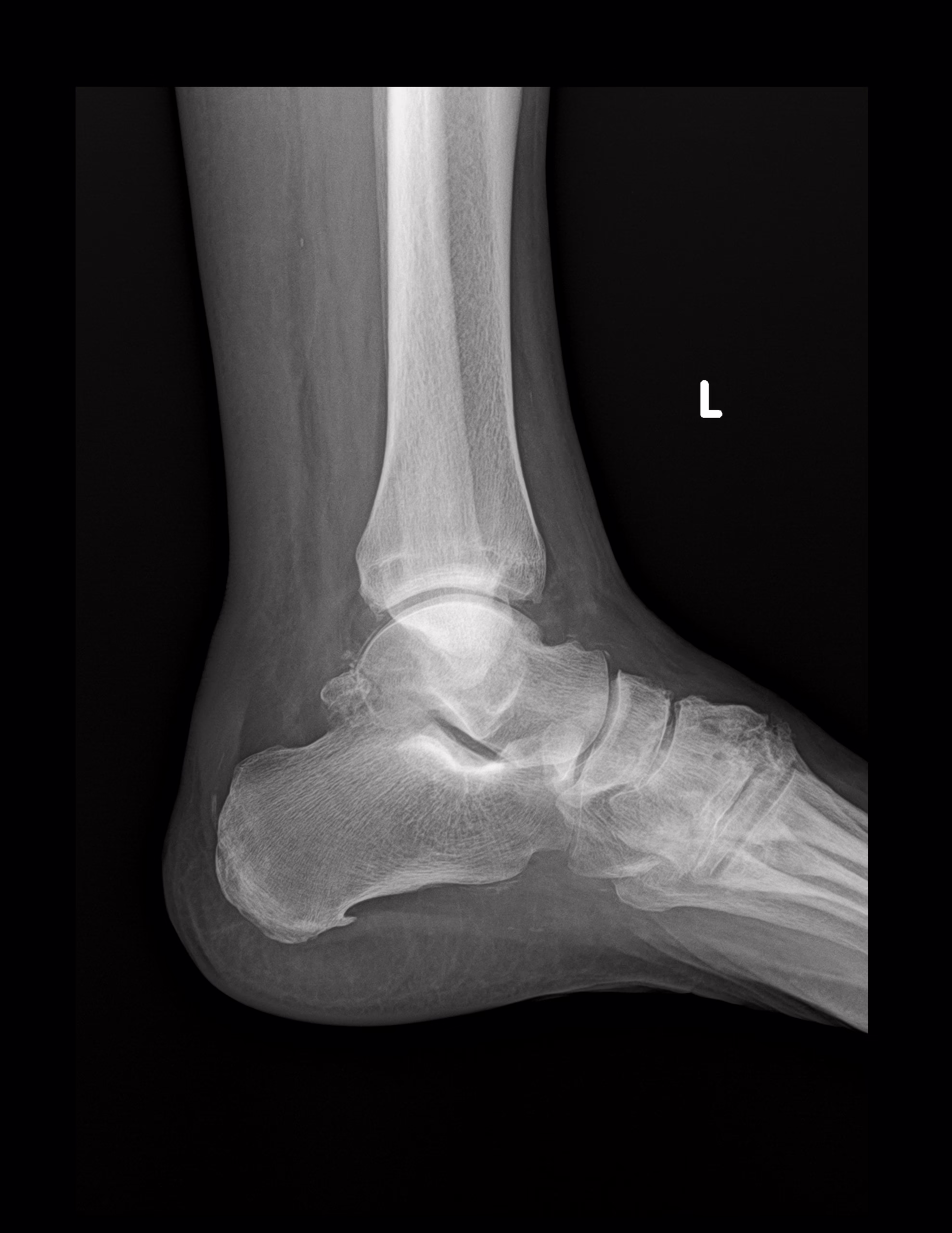
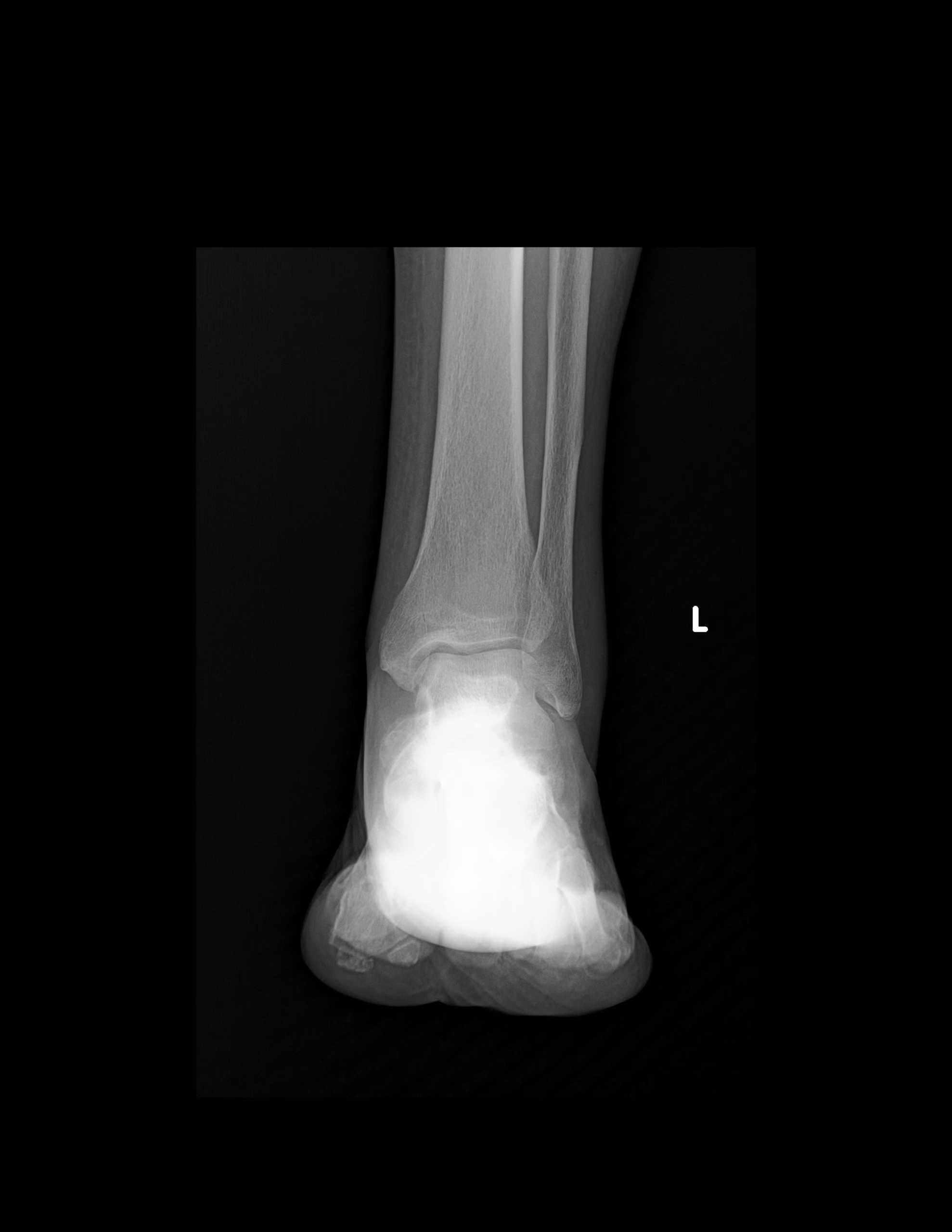
-Tejidos blandos, con aumento de la densidad y grosor a nivel posterior.
-De lo observado de tibia y peroné, sin evidencia de lesiones líticas, blásticas o perdida de la contigüidad.
-Existe fractura a nivel de proceso posterior de astrágalo con involucro de porción superior del calcáneo. Existe espícula osteofítica en porción inferior de tuberosidad del calcáneo. Resto de huesos del tarso y metatarsos, sin evidencia de lesiones líticas, blásticas o perdida de la contigüidad.
-Sombra tibioperonea mide 8.8 mm.
-Intervalo tibioperoneo de 5.98 mm.
-Angulo de Bohler de 53.1 °
-De lo observado de espacios articulares, sin evidencia de alteraciones.
OPINIÓN RADIOLÓGICA:
EN EL PRESENTE ESTUDIO RADIOGRÁFICO, EXISTE FRACTURA DEL PROCESO POSTERIOR DEL ASTRÁGALO E INVOLUCRO SUPERIOR DEL CALCÁNEO, CON EDEMA ASOCIADO.
LEER DESCRIPCIÓN
CORRELACIONAR CON DATOS E HISTORIA CLINICA DEL PACIENTE


