TOMOGRAFIA SIMPLE Y CONTRASTADA DE ABDOMEN Y PELVIS.
TECNICA: Se realiza cortes axiales de 5 x 5 mm en fase simple, con posterior reconstrucción en plano sagital y coronal.
HALLAZGOS:
Tejidos blandos y planos musculares, a nivel derecho de cicatriz umbilical con protrusión grasa de 19X7.33 mm. Resto con adecuada densidad y grosor, sin evidencia de alteraciones.
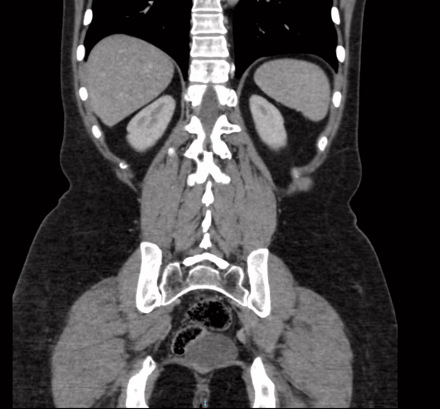
Estructuras óseas, con adecuada densidad, sin evidencia de lesiones líticas, blásticas o perdida de la contigüidad. Existen escasos osteofitos marginales. Apófisis transversa derecha de L5, con diámetro cráneo caudal mayor a 19 mm.
Trazos vasculares, a nivel de arteria renal derecha, con presencia de aneurisma con paredes calcificadas en nivel de tercio distal, que mide 9X 4.3 mm. Resto con adecuada densidad, calibre y trayecto, sin evidencia de alteraciones.
En lo observado de tórax
En lo observado de campos pulmonares, a nivel de base pulmonar derecha, con presencia de granuloma calcificado de 7.8 X 8.2 mm. Resto sin evidencia de opacificaciones, consolidaciones, masas o derrame pleural.
Abdomen
Hígado es de forma, tamaño (12.5) y densidad habitual, sin evidencia de aparentes lesiones parenquimatosas, sin dilatación de la vía biliar intra o extrahepática.
Colédoco con calibre de 2.9 mm.
Vena porta con calibre de 7.79 mm.
Vesícula biliar de características normales.
Páncreas de apariencia normal.
Bazo de apariencia normal (9.8 cm).
Ambos riñones se encuentran en su topografía habitual, son de forma y tamaño normal (riñón derecho en su eje longitudinal mide 10.62 cm e izquierdo 10.5 cm). No se observan lesiones sólidas ni litos o ectasia del sistema colector.
Ambas glándulas suprarrenales presentes y normales.
En tracto digestivo, se observa cámara gástrica parcialmente distendida, de apariencia normal.
Intestino delgado, sin evidencia de alteraciones.
Marco colónico, sin evidencia alteraciones.
Retroperitoneo, sin alteraciones.
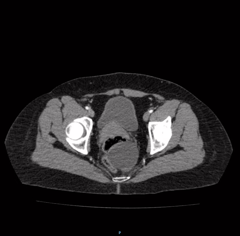
Hueco pélvico
Vejiga parcialmente distendida, de contenido hipodenso, de paredes delgadas, sin alteraciones.
Útero, de situación, morfología y densidad habitual, de bordes regulares, que mide 6.88 X4.1X 5.93 cm, en su eje longitudinal, anteroposterior y trasversal respectivamente, sin alteraciones.
En espacio pre sacro posterior a ámpula rectal, con presencia de imagen redondeada, regular, bien definida, de contenido hipodenso (3 UH), tras la administración de contraste sin evidencia de realces, que mide 5.3 X5.14X 5.6 cm, en su eje longitudinal, anteroposterior y trasversal respectivamente con volumen aproximado de 80 cc.
Ganglios linfáticos observados son de morfología habitual, conservan su hilio graso y miden menos de 10 mm en su eje corto.
OPINIÓN RADIOLÓGICA:
EN EL PRESENTE ESTUDIO TOMOGRÁFICO, EXISTE COLECCIÓN EN ESPACIO PRESACRO, POSTERIOR ÁMPULA RECTAL CON DENSIDAD LÍQUIDA, QUE MIDE 5.3 X5.14X 5.6 CM, CON VOLUMEN APROXIMADO DE 80 CC, SUGERENTE DE ENDOMETRIOSIS PERITONIAL VS ORIGEN A DETERMINAR.
ARTERIA RENAL DERECHA, CON PRESENCIA DE ANEURISMA CALCIFICADO.
EXISTE MEGA APÓFISIS TRANSVERSA DERECHA DE L5. (CASTELLVI 1-A)
HERNIA PARAUMBILICAL DERECHA DE 19X 7.33 MM.
LEER DESCRIPCIÓN Y OTORGAR VALOR DIAGNÓSTICO.
CORRELACIONAR CON DATOS E HISTORIA CLINICA DEL PACIENT



