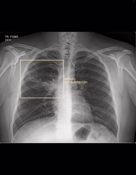
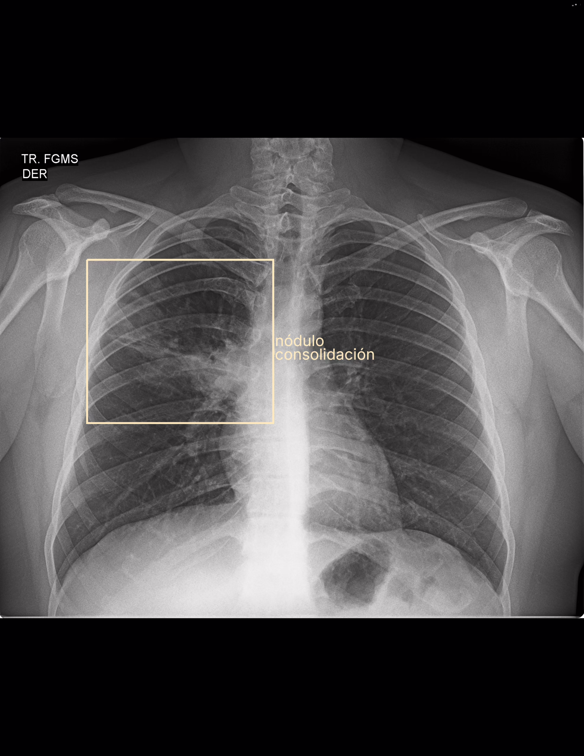
Se interpreta rx tele de tórax observando los siguientes hallazgos:
Tejidos blandos íntegros sin lesiones
Tejidos óseos sin lesiones líticas o blásticas
Pleuras sin derrame ni engrosamientos
Parénquima pulmonar heterogéneo con consolidación de lóbulo superior de pulmón derecho
Corazón en situs solitus de tamaño conservado sin lesiones
Grandes vasos de calibre y trayectoria conservada
Tráquea y esófago sin desplazamientos
Impresión diagnóstica
Datos de neumonía de lóbulo superior de pulmón derecho

