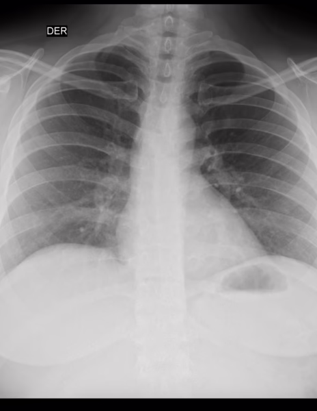
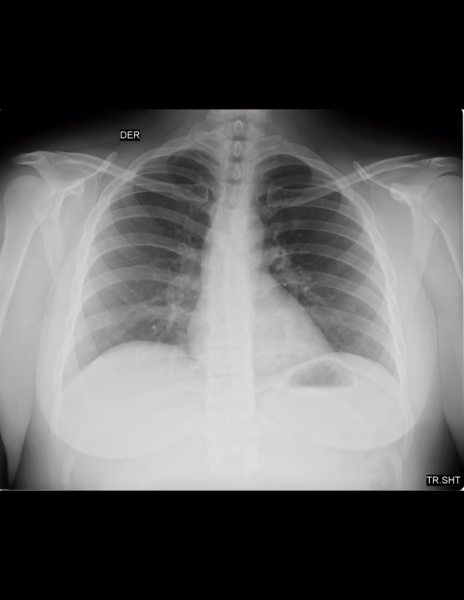
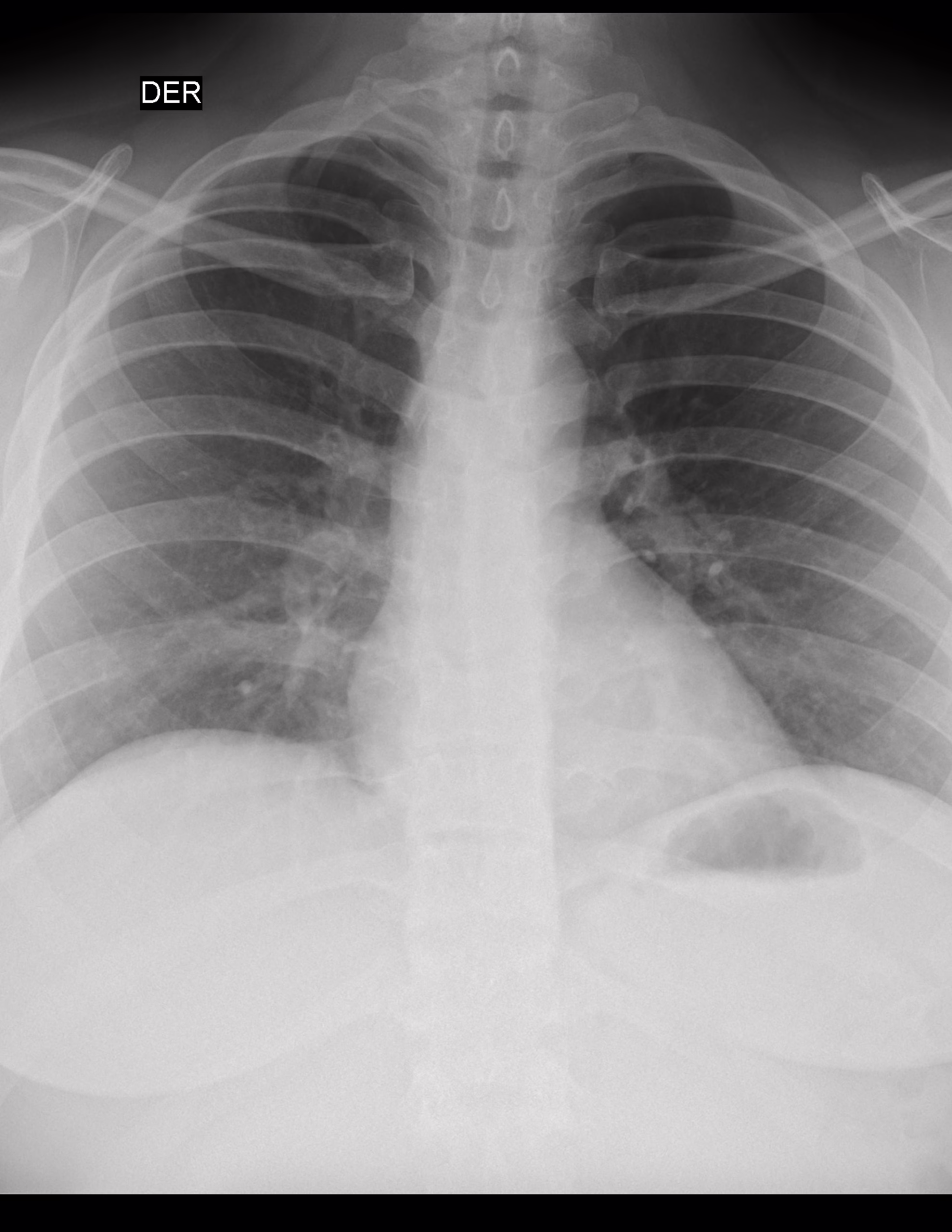
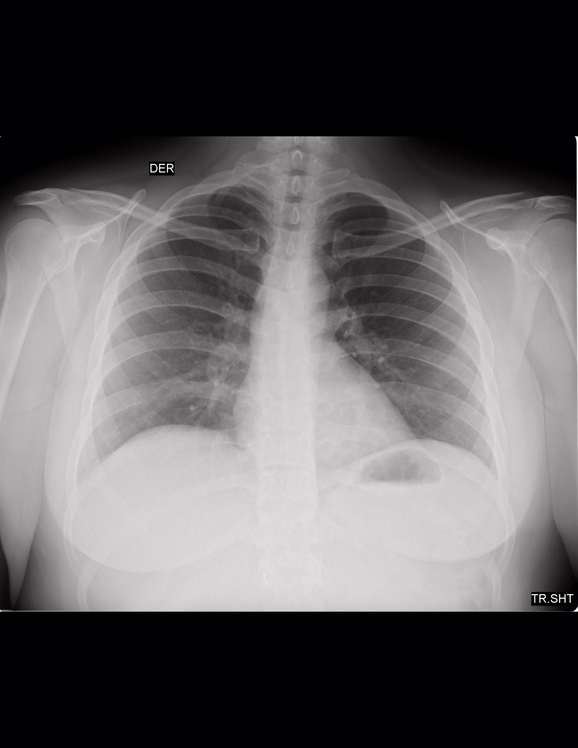
LA PROYECCION RADIOLOGICA OBTENIDA NOS MUESTRA LOS SIGUIENTES HALLAZGOS:
-Tejidos blandos son simétricos, con adecuada densidad y grosor.
-Estructuras óseas, sin evidencia de lesiones líticas, blásticas o perdida de la contigüidad.
-Vía aérea permeable, central. Botón aórtico sin calcificaciones.
-Mediastino, conservando sus diámetros.
-Corazón, central, con índice cardiotorácico menor de 0.5
-Hilios pulmonares, sin alteraciones.
-Trama bronco-vascular, con adecuado trayecto, con adecuada densidad.
-Campos pulmonares, hacia parénquima pulmonar derecho, a nivel basal con presencia de imagen ovoidea, homogéneas, radiopacas, regular, bien definida, que mide 4.2 X 3.7 mm. Parénquima pulmonar izquierdo, hacia área para hiliar en segmentos inferiores, con presencia de imágenes, ovoidea, homogéneas, radiopacas, regulares, bien definidas, que miden 3.3 X5 mm, 2.9 X 5.2 mm, 5.6 X 3.4 mm.
-Recesos costofrénicos y cardiofrénicos se observan libres.
OPINIÓN RADIOLÓGICA:
EN EL PRESENTE ESTUDIO RADIOGRÁFICO, SIN EVIDENCIA DE LESIONES PARENQUIMATOSAS.
HACIA NIVEL BASAL DE PULMÓN DERECHO Y PARA HILIAR INFERIOR DE PULMÓN IZQUIERDO CON IMÁGENES SUGERENTES DE MICRONÓDULOS VS GANGLIOS DE CARACTERÍSTICAS BENIGNAS.
LEER DESCRIPCIÓN Y OTORGAR VALOR DIAGNÓSTICO.
CORRELACIONAR CON DATOS E HISTORIA CLINICA DEL PACIENTE

