Indicación:
adenocarcinoma de próstata 150p 2(g4+3), riesgo intermedio favorable. Control para iniciar tratamiento de radioterapia, estudio previo de RM 19/10/2025 orden fm725382, biopsia en diciembre 2025.
Método de estudio: Resonancia magnética de próstata en secuencias multiplanares en imágenes ponderadas en T2 axial, sagital y coronal, difusión, mapa de ADC, T1 axial, T2-FATSAT e imágenes de contraste dinámicas después de la administración IV de gadolinio.
Descripción:
Tamaño de la próstata: 56 mm transverso x 36 mm AP x 4.7 mm de longitud con volumen total de: 50 cm³. Longitud de la uretra membranosa de 10 mm. Ápice tipo A.
Se observan cambios por hipertrofia prostática con patrón de crecimiento tipo III (transicional bilateral y retroureteral), con protrusión del lóbulo medio hacia el piso vesical en 12 mm (IPP grado 3).
Se favorece engrosamiento de la pared vesical en relación con cambios por vejiga de esfuerzo (mide 8.4 mm de AP).
Zona Periférica:
Se identifican cambios hemáticos dispersos en ambas zonas periféricas evidentes hiperintensidades difusas en secuencia T1 y T1-FATSAT, no muestran restricción hídrica en difusión, relacionado con antecedente conocido.
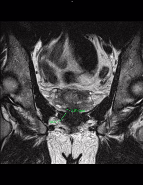
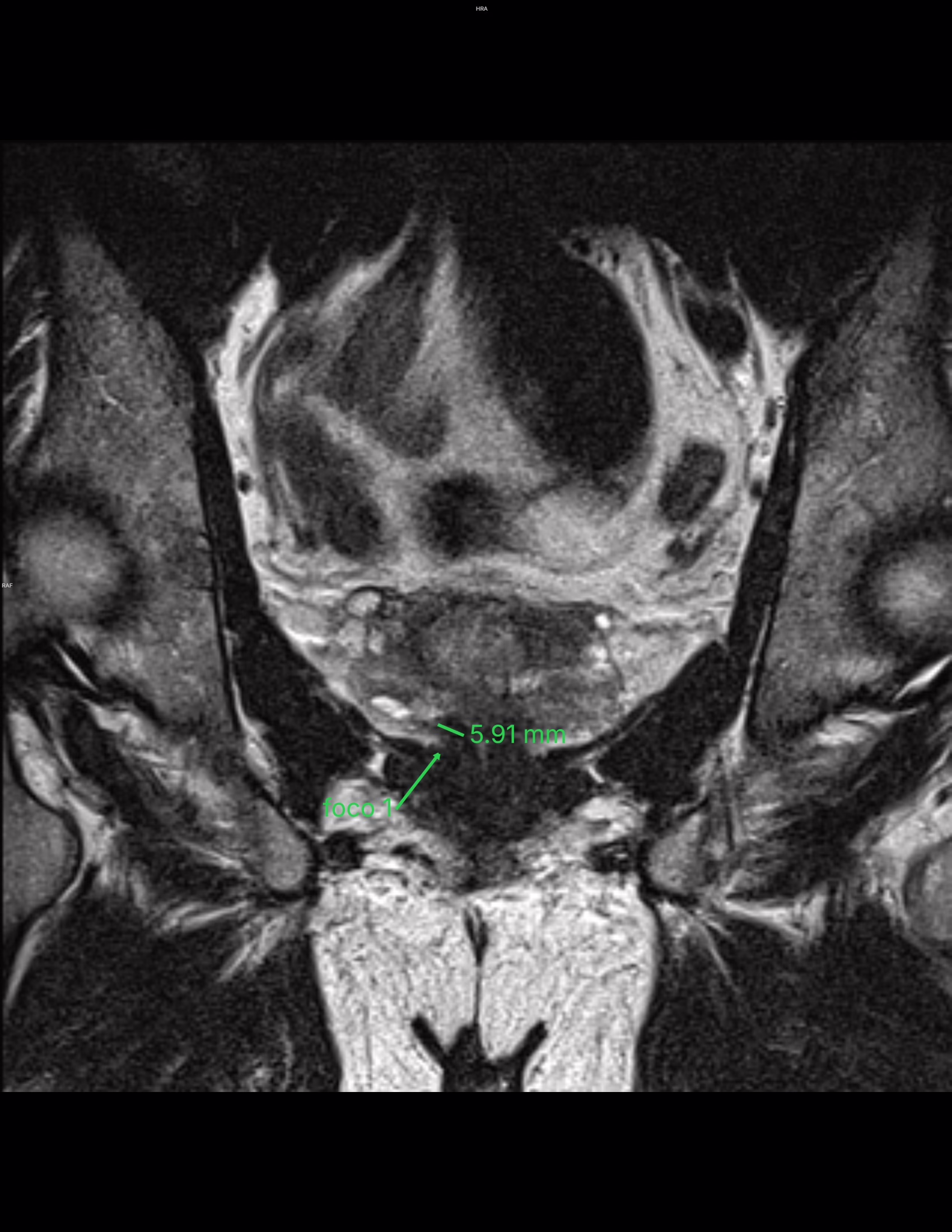
Lesión #1: Mide: aproximadamente 6 mm.
Serie 5, Imagen 22/30.
Localización: Zona periférica posteromedial derecha a nivel apical (sector RA-PZpm).
PEE: Probabilidad de Extensión extraprostática: grado 0 de 3 (Mehralivand).
T2: Hipointensidad menor a 15 mm y sin extensión extraprostática. Categoría 4/5.
DWI: Marcada hiperintensidad en difusión y marcada hipointensidad en ADC. Categoría 4/5.
DCE: no se observa realce focal temprano.
Sin obliteración del ángulo recto prostático.
Vesículas seminales: sin datos de extensión a vesículas seminales.
Compromiso de paquetes neurovasculares: sin datos de extensión a paquetes neurovasculares detectable por este método diagnóstico.
PI-RADS 4
Zona de Transición:
En ambas zonas transicionales destacando del lado izquierdo a nivel anterior y medial corresponde a un nódulo hiperplásico de contornos definidos que muestra cambios hemáticos como hiperintensidad en T1 y T1-FATSAT.
T2: Se observan nódulos hiperplásicos encapsulados y parcialmente encapsulados. Categoría 2/5.
DWI: Hipointensidades lineales en ADC. Categoría 2/5.
DCE: Realce focal temprano negativo.
PI-RADS 2.
Estoma anterior fibromuscular: sin evidencia de lesiones sospechosas.
Vesículas seminales: simétricas, distendidas, sin alteraciones.
Ganglios: sin evidencia de adenopatías sospechosas.
Huesos: No se identifican lesiones óseas sospechosas.
PI-RADS global: PI-RADS 4.
Nota: ya que existe antecedente de biopsia positiva previa es recomendable correlacionar estos hallazgos con los datos clínicos y paraclínicos conocidos del paciente.
Comentarios:
PI-RADS 4: Alto (la presencia de cáncer clínicamente significativo es probable).
Lesión índice PI-RADS 4 en la zona periférica posteromedial derecha a nivel apical (sector RA-PZpm). Mide aproximadamente 6 mm, con probabilidad 0 de 3 de presentar extensión extraprostática
Hallazgos compatibles con Hiperplasia Prostática con IPP grado 3 y volumen total de 50 cm³.
Cambios hemáticos dispersos en ambas zonas transicionales y periféricas predominantemente en estas últimas, relacionados con antecedente conocido.
Hipointensidades lineales y cuneiformes en zona periférica bilateral sugerentes de cambios secuelares por antecedentes de prostatitis crónica de repetición.
Cambios por vejiga de esfuerzo.






