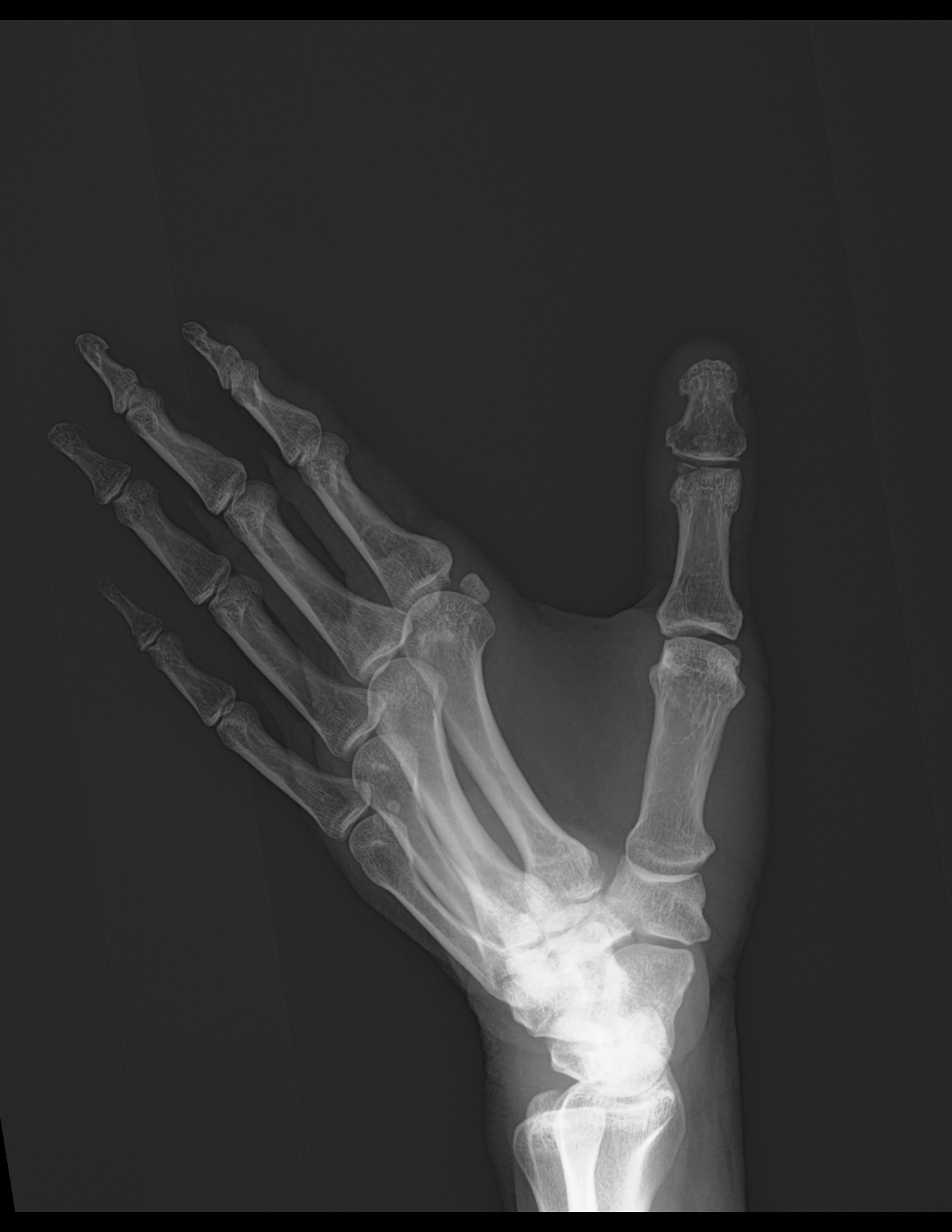
Se realizan radiografías en proyección anteroposterior y oblicua de mano izquierda, donde se observa lo siguiente:
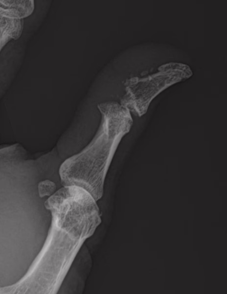
Los tejidos blandos del primer dedo muestran aumento en su volumen. Con presencia de calcificaciones en la superficie palmar de la falange distal del primer dedo.
Se identifica una solución de continuidad cortical en la epífisis distal de la falange proximal del primer dedo.
No se observan lesiones líticas ni blásticas.
Los espacios y superficies articulares muestran adecuada amplitud y alineación.
Impresión diagnóstica:
Estudio radiográfico de mano izquierda con hallazgos que sugieren fractura distal de la falange proximal de del primer dedo.
Edema en los tejidos blandos del primer dedo. Presencia de calcificaciones en la superficie palmar de la falange distal del primer dedo.


