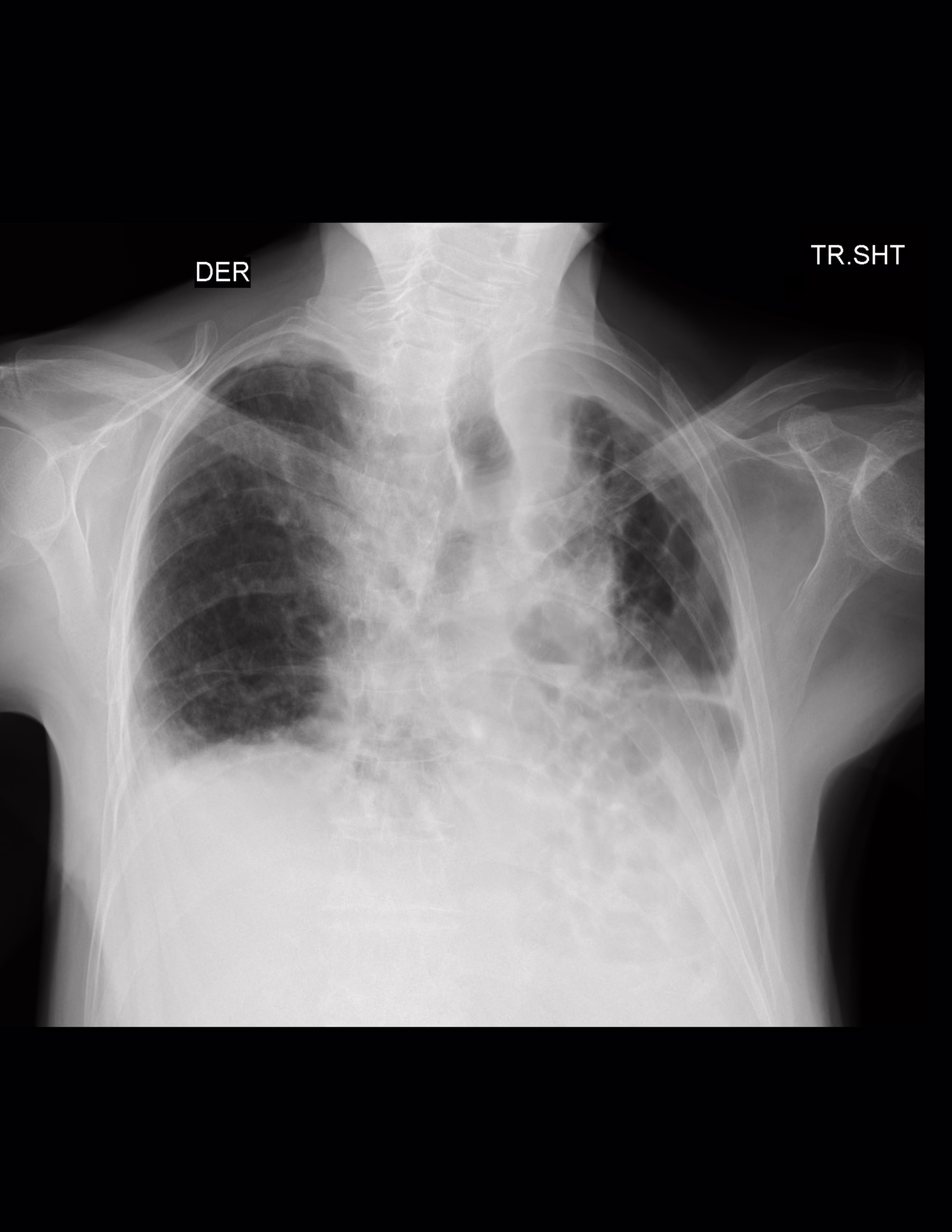
LA PROYECCION RADIOLOGICA OBTENIDA NOS MUESTRA LOS SIGUIENTES HALLAZGOS:
-Tejidos blandos, simétricos, con adecuada densidad, sin evidencia alteraciones.
-Estructuras óseas, sin evidencia de lesiones líticas, blásticas o perdida de la contigüidad. Existen osteofitos marginales.
-Vía aérea permeable, con desviación hacia la izquierda. Botón aórtico con calcificaciones.
-Mediastino, con aparente aumento sus diámetros.
-Corazón, central, con índice cardiotorácico de 0.51.
-Hilios pulmonares, no se observan
-Trama bronco-vascular, con alteración.
-Campos pulmonares, con opacidad reticular difusa. Así como atelectasias subpleurales distribución aleatoria periférica de predominio en pulmón izquierdo, que disminuye en el volumen de parénquima pulmonar izquierdo
-Existe ascenso de hemidiafragma izquierdo, propiamente asociado a atelectasias.
OPINIÓN RADIOLÓGICA:
EN EL PRESENTE ESTUDIO RADIOGRÁFICO, EXISTE NEUMOPATÍA CRÓNICA INTERSTICIAL DE PREDOMINIO IZQUIERDO, CON DISMINUCIÓN DEL VOLUMEN PULMONAR IZQUIERDO CON ASCENSO DEL HEMIDIAFRAGMA Y DICEN DE LA TRÁQUEA.
ATEROESCLEROSIS.
CAMBIOS OSTEODEGENERATIVOS.
LEER DESCRIPCIÓN Y OTORGAR VALOR DIAGNÓSTICO A LO CONSIGNADO.
CORRELACIONAR CON DATOS E HISTORIA CLINICA DEL PACIENTE.

