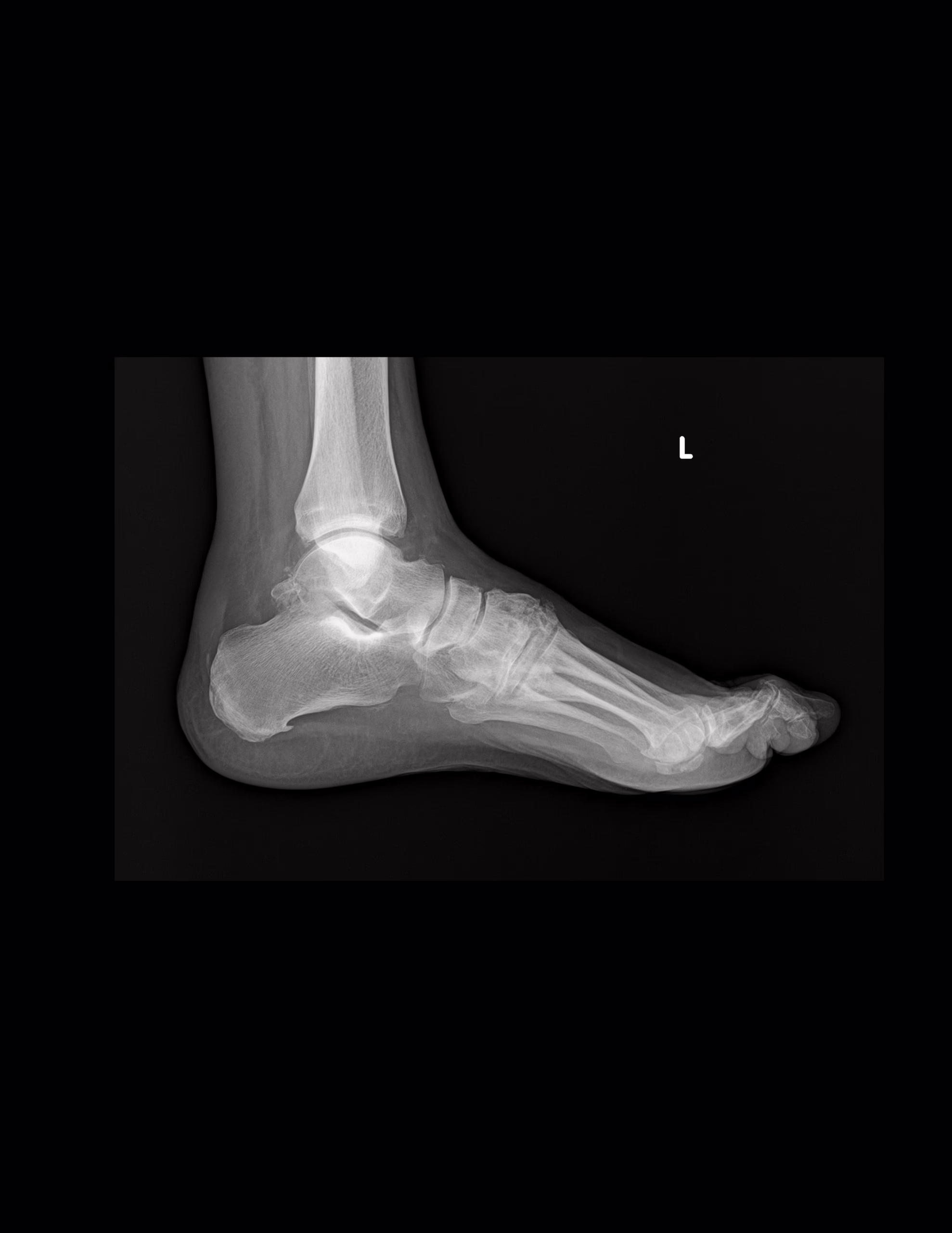
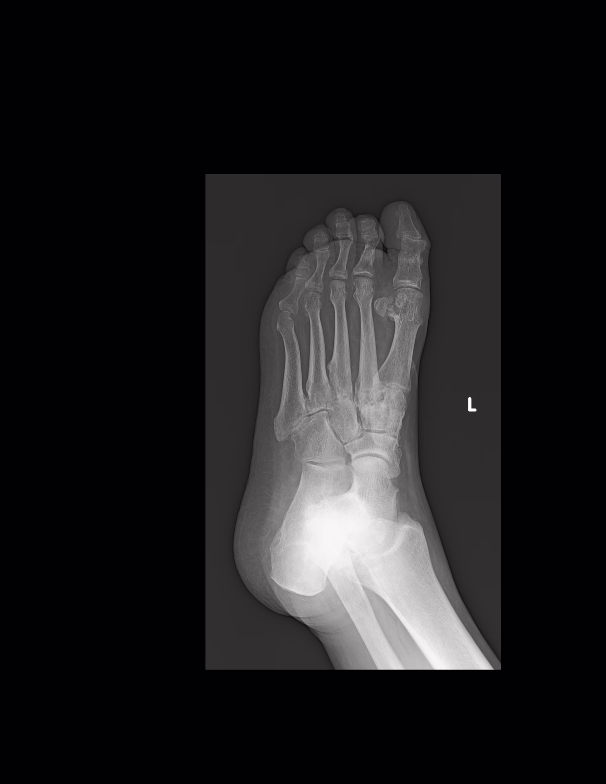
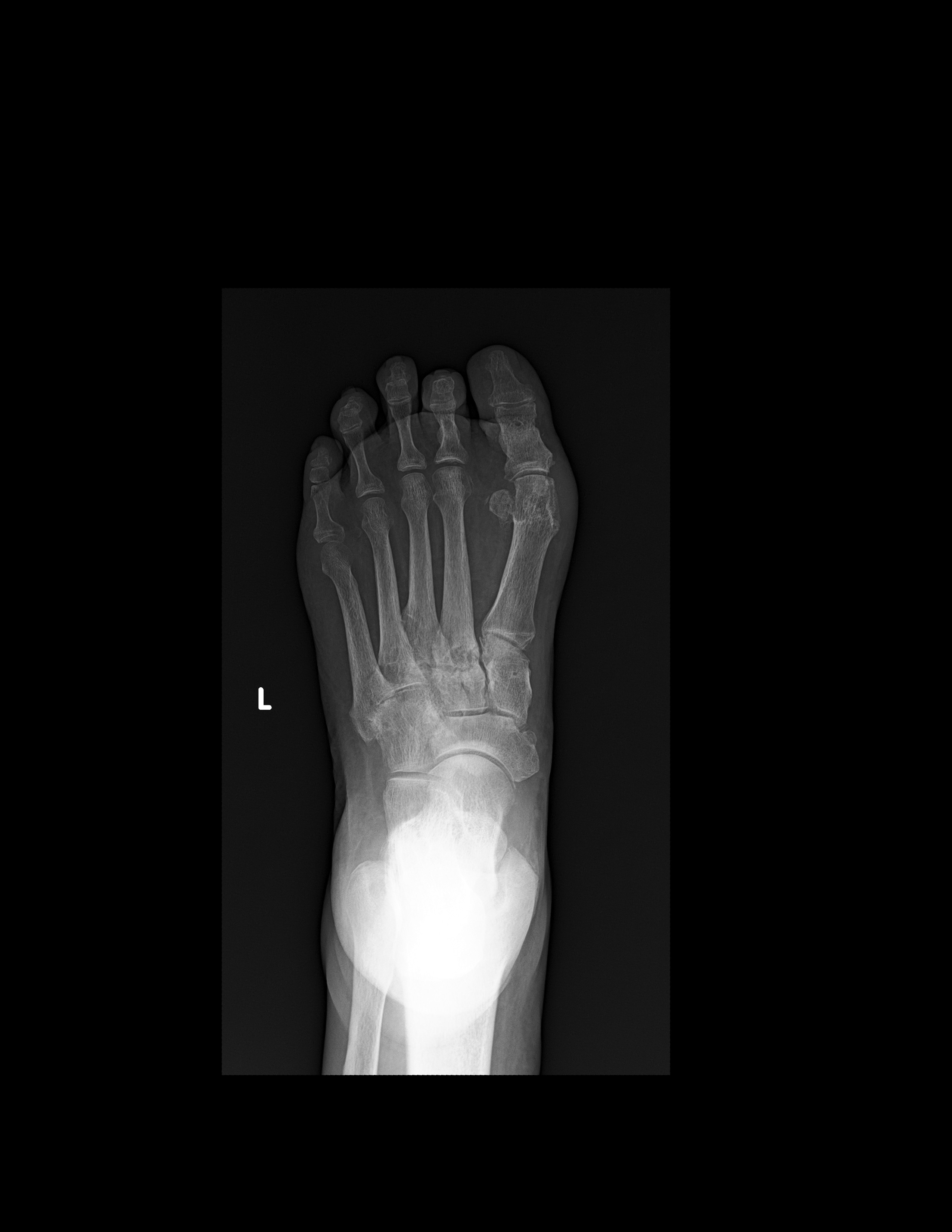
RADIOGRAFIA AP Y OBLICUA DE PIE
LAS PROYECCIONES RADIOLOGICAS OBTENIDAS NOS MUESTRAN LOS SIGUIENTES HALLAZGOS
-Tejidos blandos, existe aumento densidad y grosor a nivel posterior.
-En lo observado de tibia y peroné, sin lesiones líticas, blásticas o perdida de la contigüidad.
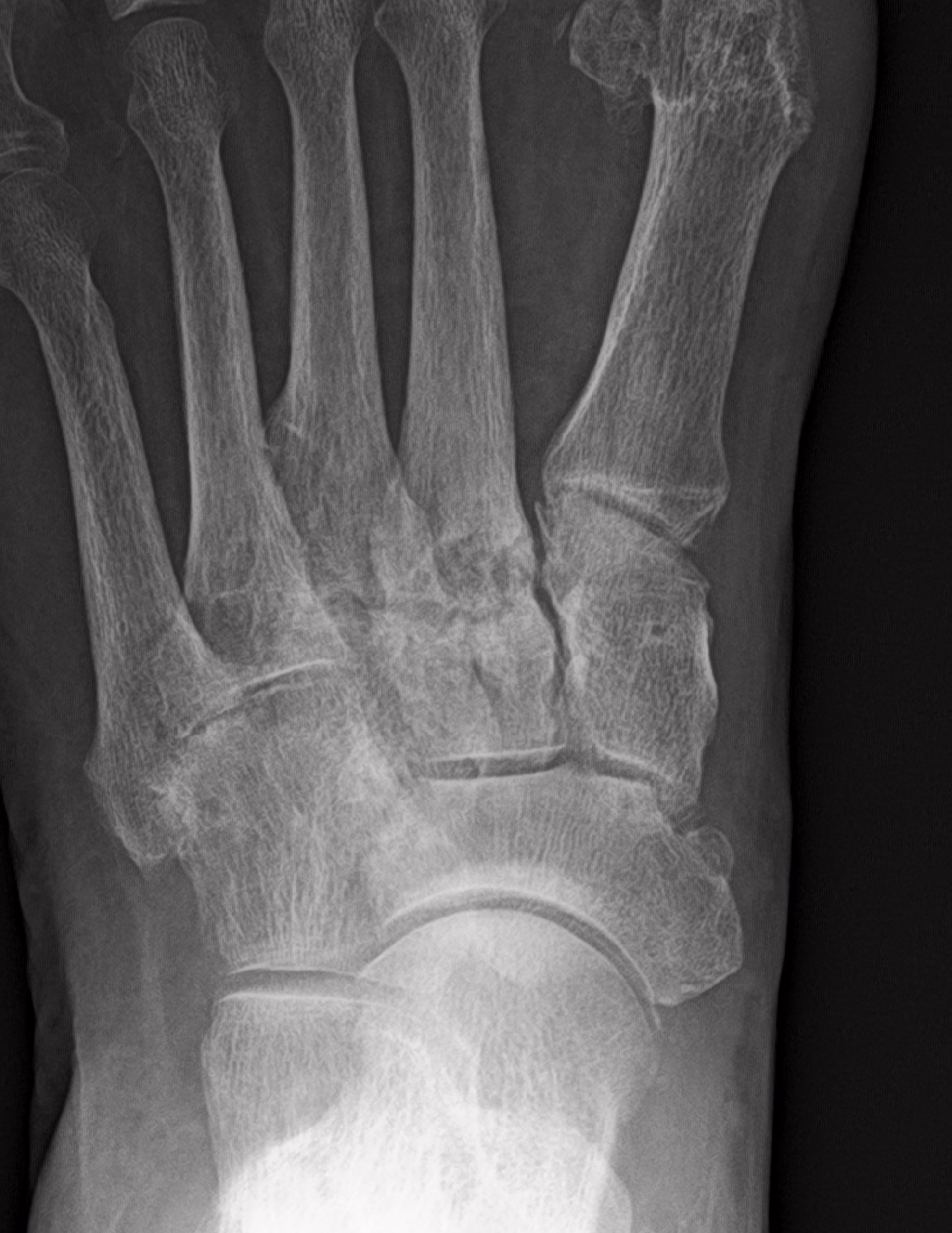
-Se observa trayecto compuesto a nivel de proceso posterior del astrágalo. 2do cuneiforme con trazo longitudinal no desplazada. A nivel de base de 2do metatarso, con aparente fractura. Existe espícula osteofítica en porción inferior de tuberosidad del calcáneo. Resto de huesos del tarso, metatarsos y falanges, con disminución de la densidad, sin evidencia de lesiones líticas, blásticas o perdidas de la contigüidad.
-Espacios articulares, con adecuada amplitud
-Angulo metatarsofalángico del 1er ortejo de 22.6°
-Angulo intermetatarsiano de 13.2°.
OPINIÓN RADIOLÓGICA:
EN EL PRESENTE ESTUDIO RADIOGRÁFICO, EXISTE APARENTE FRACTURA DEL PROCESO POSTERIOR DEL ASTRÁGALO. FRACTURA DEL 2DO CUNEIFORME CON ASOCIACIÓN DE APARENTE FRACTURA NIVEL DE BASES DEL 2DO METATARSIANO, CON EDEMA ASOCIADO.
EXISTE ESPOLÓN ÓSEO DEL CALCÁNEO.
HALLUX VALGUS MODERADO.
LEER DESCRIPCIÓN Y OTORGAR VALOR DIAGNÓSTICO.
CORRELACIONAR CON DATOS E HISTORIA CLINICA DEL PACIENTE



