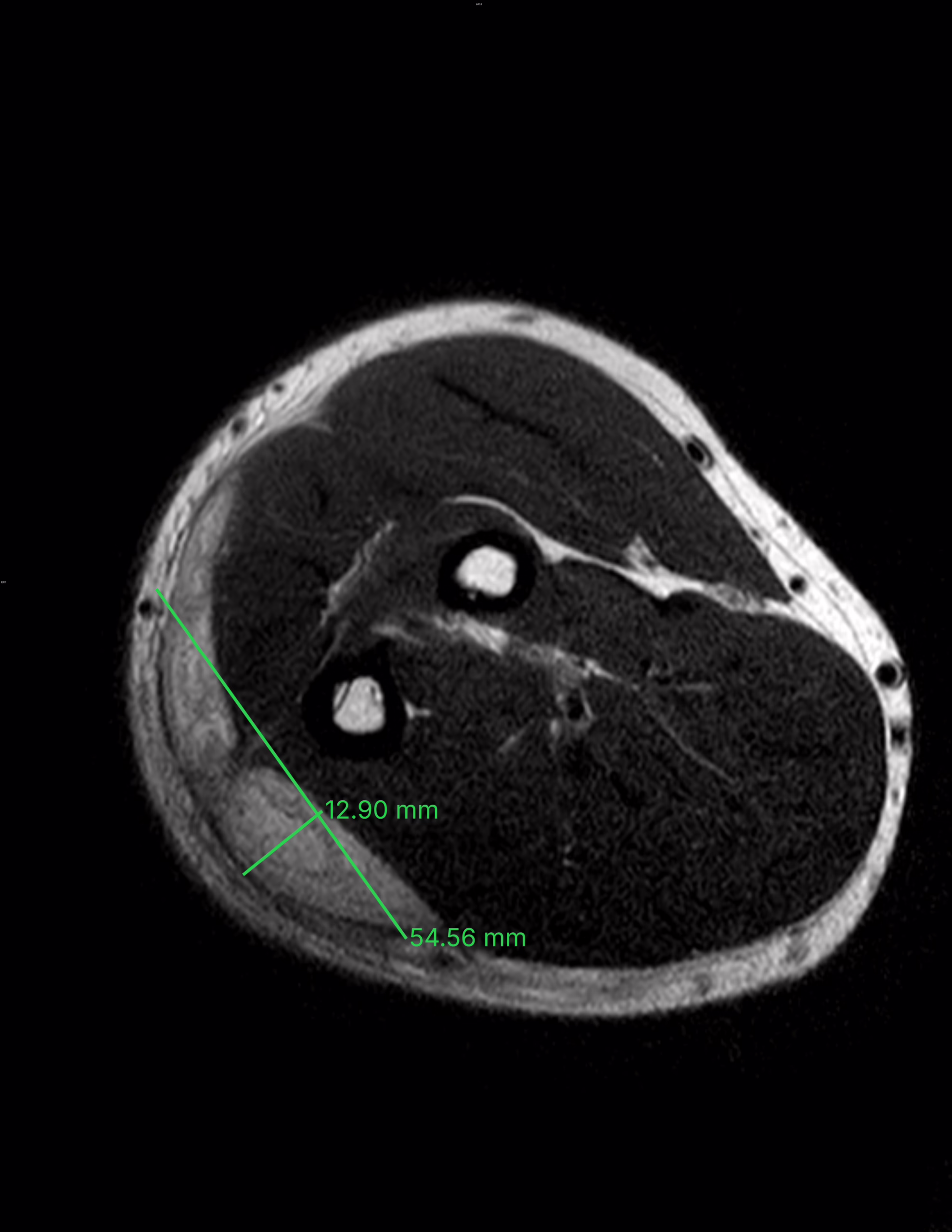
antebrazo existe una colección superficial a la musculatura que tiene intensidad de señal heterogénea por zonas de menor intensidad octubre 27, 2025 drfroy Deja una respuesta Cancelar la respuestaTu dirección de correo electrónico no será publicada. Los campos obligatorios están marcados con *Comentario * Nombre * Correo electrónico * Web Δ Este sitio usa Akismet para reducir el spam. Aprende cómo se procesan los datos de tus comentarios. Buscar Search for: Search Acceso Acceder Feed de entradas Feed de comentarios WordPress.org Amigos Casos clínicos enarm Como bajar de peso Oscar Blancarte panchosoft Vitalis Sigueme.