TÉCNICA E INFORMACIÓN CLÍNICA:
Se realizaron adquisiciones axiales con reconstrucciones multiplaneres con tomógrafo helicoidal en región del craneo.
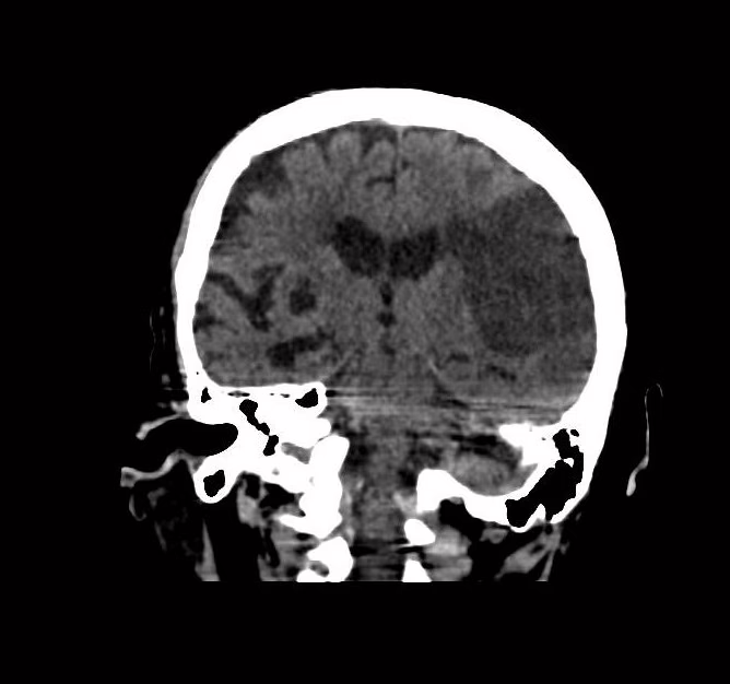
DESCRIPCIÓN:
Tejidos blandos, simétricos, sin evidencia de lesiones.
Estructuras óseas, sin evidencia de lesiones líticas, blásticas o perdida de la contigüidad. Se consigna hiperostosis frontal. Llama la atención concavidad de hueso frontal de lado izquierdo en áreas de hiperostosis que presenta una base de 13.5 X 11.2 mm, con concavidad de 6.6 mm.
Espacios epi-subdural y subaracnoideo sin colecciones.
Hoz cerebral, con calcificaciones hacia la convexidad.
Sustancia gris y blanca, hacia lóbulo frontal, parietal y temporal izquierdos, con área hipodensa, irregular, bien definida, que mide 6.21 X9.27X 4.27 cm, en su eje longitudinal, anteroposterior y trasversal respectivamente, con leve efecto de masa hacia ventrículo lateral izquierdo. A nivel de lóbulo insular derecho, con pequeña área ovoidea, regular, bien definida, isodensa a líquido cefalorraquídeo, que mide 13.7 X 8.9 mm. Resto con adecuada diferenciación.
Surcos y cisuras, periférico área hipodensa de lóbulo frontal, parietal y temporal izquierdos con disminución de su amplitud y profundidad esto por edema citotóxicos. Resto con aumento de la amplitud y de profundidad.
Núcleos de la base, y núcleo caudado izquierdo, con área ovoidea, regular, bien definida, que mide 12.9 X 8.4 mm, con efecto de masa. Resto de morfología y densidad habitual, simétricos
Silla turca, se observa vacía.
Sistema ventricular, con aumento su amplitud. Índice de Evans de 0.32
Fosa posterior muestra tronco encefálico, de características habituales, sin alteraciones.
Hemisferios cerebelosos, con densidad y morfología respetada.
Trazos vasculares, con ateroesclerosis.
El observado de senos paranasales y órbitas, se observa el paso de sonda nasogástrica por cavidad derecha.
OPINIÓN RADIOLÓGICA:
EN EL PRESENTE ESTUDIO TOMOGRAFICO, EXISTEN EVENTO VASCULAR ISQUÉMICO AGUDO A NIVEL DE LÓBULO FRONTAL, PARIETAL Y TEMPORAL IZQUIERDO, ASÍ COMO TAMBIÉN EVENTO LACUNAR AGUDO A NIVEL DEL NÚCLEO CAUDADO IZQUIERDO, ESTOS CON EDEMA ASOCIADO.
EVENTO LACUNAR ISQUÉMICO CRÓNICO EN LÓBULO INSULAR DERECHO.
APARENTE MENINGIOMA CALCIFICADO A NIVEL FRONTAL IZQUIERDO.
HIPEROSTOSIS FRONTAL.
ATEROESCLEROSIS.
ARACNOIDOCELE SELAR GRADO IV.
SONDA NASOGÁSTRICA POR ORIFICIO NASAL DERECHO.
CORRELACIONAR CON DATOS E HISTORIA CLINICA DEL PACIENTE
EVENTO VASCULAR ISQUÉMICO AGUDO A NIVEL DE LÓBULO FRONTAL, PARIETAL Y TEMPORAL IZQUIERDO
