TÉCNICA: Se realiza estudio solicitado, en proyección postero-anterior
HALLAZGOS:
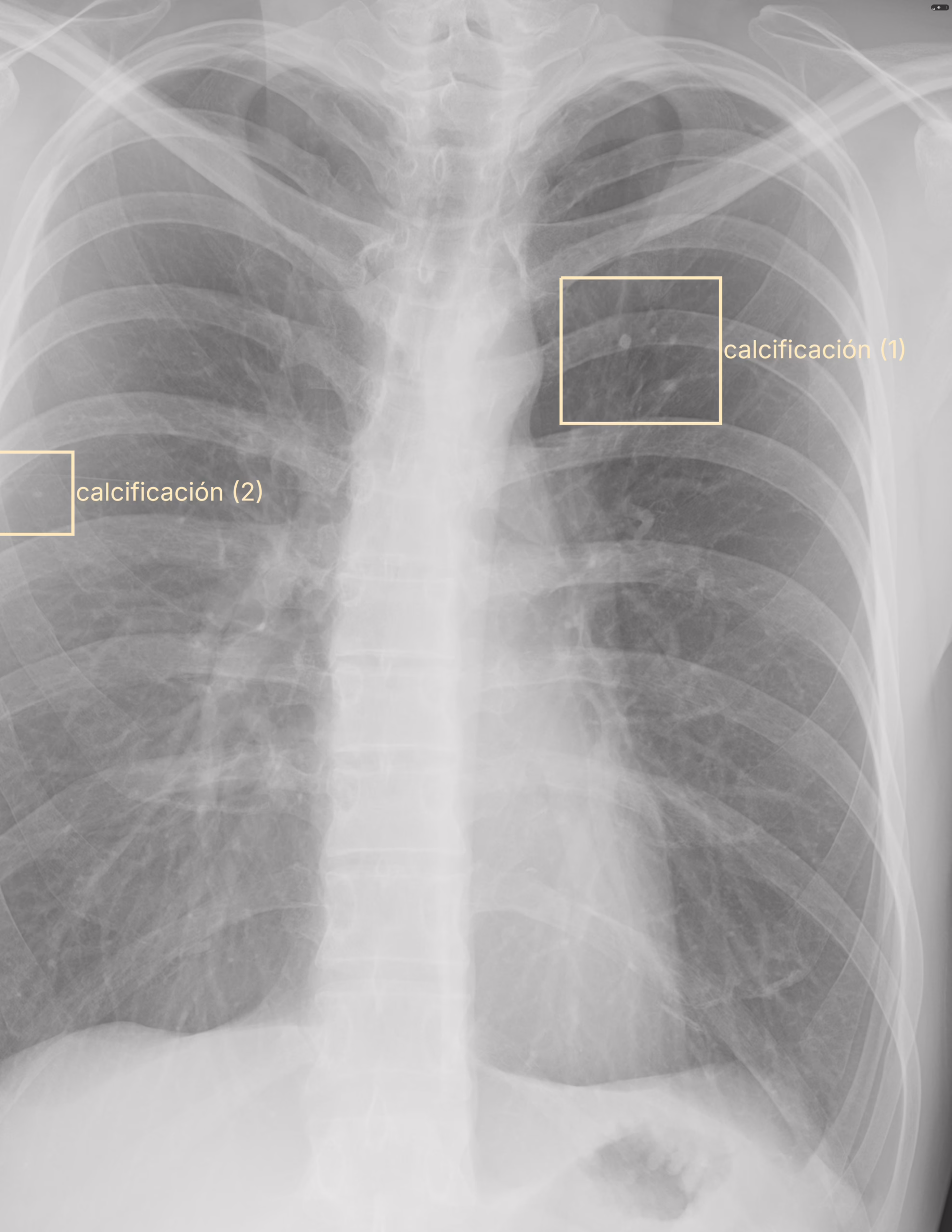
Los pulmones son simétricos y radiolucidos, de manera bilateral en los tercios medio se observa calcificaciones menores a 0.5 cm. No se identifican patrones radiopacos o radiolucidos por este método de estudio. El diafragma conserva la convexidad. Los ángulos diafragmáticos conservan la profundidad.La tráquea se encuentra central con presencia de aire. El arco aórtico se encuentra normal. La silueta cardiaca es homogénea.Los hilios son de diámetro normal y situación anatómica normal.
Los tejidos blandos son homogéneos y simétricos. El clivaje de los planos grasos se encuentra respetado.
Los arcos costales se encuentran de densidad normal, las corticales expuestas no muestran fracturas, lesiones líticas o blásticas.
IMPRESIÓN DIAGNOSTICA:
Calcificaciones pulmonares bilaterales
Calcificaciones pulmonares bilaterales
