RADIOGRAFIAS AP Y LATERAL DE MANO
Hallazgos:
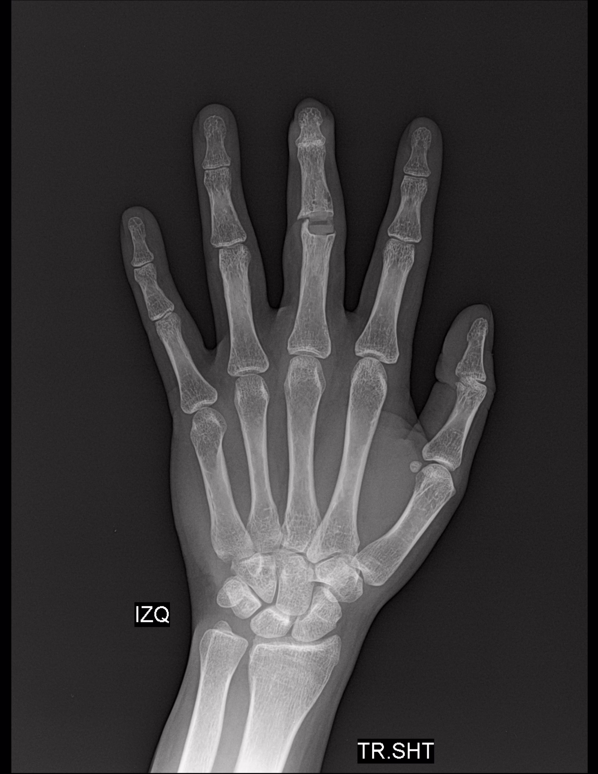
-Radio y cubito, con aumento la densidad y grosor a nivel interfalángico proximal de dedo medio. Resto sin evidencia de lesiones líticas, blásticas o perdidas de la contigüidad.
-A nivel de falange proximal de dedo medio a nivel de cabeza con presencia de material de artroplastia, así como también a nivel de base de falange media. Resto de huesos del carpo, metacarpos y falanges, sin evidencia de lesiones blásticas, líticas o perdidas de la contigüidad.
-Espacio articular interfalángico proximal de dedo medio con material de artroplastia y presencia de fragmentos. Resto de los espacios articulares sin alteraciones
-A nivel de primera articulación metacarpofalángica, con presencia de hueso sesamoideo.
-Tejidos blandos, con adecuada densidad y grosor, sin evidencia de lesiones.
-Varíanza cubital neutra.
OPINIÓN RADIOLÓGICA:
EN EL PRESENTE ESTUDIO RADIOGRÁFICO, EXISTE MATERIAL DE ARTROPLASTIA A NIVEL DE ARTICULAR INTERFALÁNGICO PROXIMAL DE DEDO MEDIO, EL CUAL ENTRE ELLOS SE OBSERVA APARENTES FRAGMENTOS ÓSEOS Y EDEMA ASOCIADO.
LEER DESCRIPCIÓN Y OTORGAR VALOR DIAGNÓSTICO A LO CONSIGNADO EN EL REPORTE.
CORRELACIONAR CON DATOS E HISTORIA CLINICA DEL PACIENTE.
EXISTE MATERIAL DE ARTROPLASTIA A NIVEL DE ARTICULAR INTERFALÁNGICO PROXIMAL DE DEDO MEDIO, EL CUAL ENTRE ELLOS SE OBSERVA APARENTES FRAGMENTOS ÓSEOS Y EDEMA ASOCIADO
